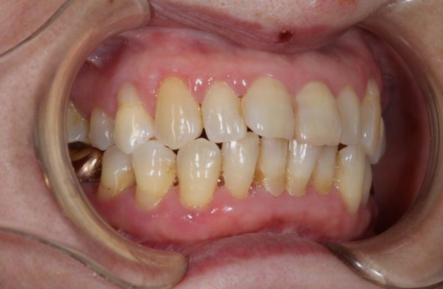
施術前
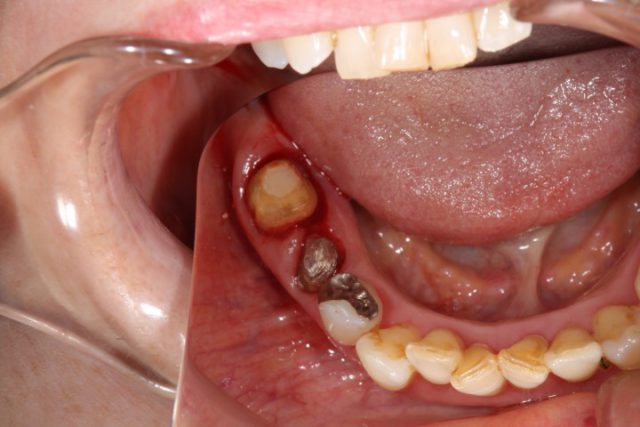
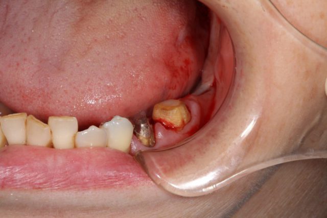
施術中
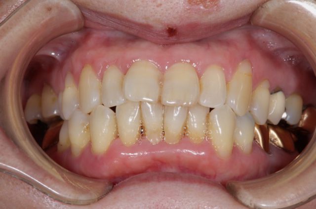
施術後
一番奥に歯が出てきているのが分かると思います。今回奥歯と言うこともあり強度が必要となります。メタルボンドは金属による土台を必要としますが、非常に強いのが特徴で噛むという強い動作にも耐えることができます。
被せ物の素材にはオールセラミック・メタルボンド・ジルコニアと種類があり、使う場所、用途などによって考えて選ぶ必要があります。今回のように強さを求めるのであればメタルボンド。色味やキレイさを優先するのであればオールセラミック。このように患者さまの口腔内の環境にって素材を選んでいく必要があります。
もし口腔内の不調や不満を持っておられる方は是非お気軽にご相談ください。不調の場所や不満の状態により最適な術法をお伝えいたします。
■治療内容
歯の詰め物や被せ物をセラミックなどの白い素材で治療します。
■費用(自費)
インレー:1 本あたり 55,000円~66,000円(税込)
クラウン:1 本あたり 44,000円~143,000万円(税込)
ラミネートべニア:1 本あたり 55,000円~(税込)
■治療期間及び回数
症状によりますが、処置自体は通院1~2 回で完了します。
■副作用・リスク
・銀歯に比べて厚みがあるため、歯を削る量が若干多くなります。
・歯ぎしりなどにより稀に破損する場合があります。







