施術前
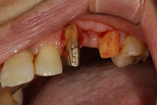
この患者さんはもともと右上犬歯(前歯から数えて3番目)にメタルボンドが入っていましたがそれを今回除去し、犬歯から5番目の小臼歯までを連結したブリッジにしました。
施術中
メタルボンドが入った状態です。
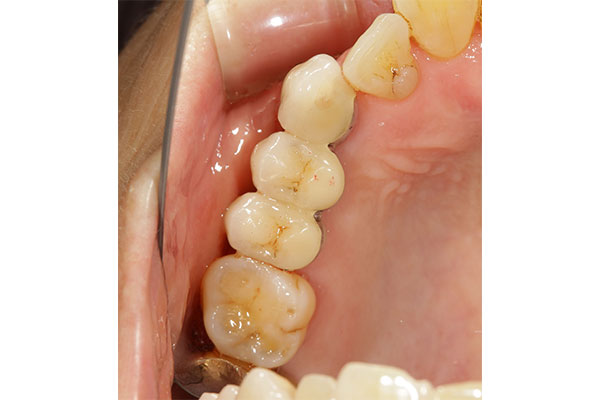
施術後
メタルボンドは金属を使うのがデメリットで、金属アレルギーのあるかには禁忌となりますが、昔から使われているので信頼度は高い補綴物(かぶせ)です。費用は1本8万円となり今回は3本のブリッジで24万円(税抜)となっております。
■治療内容
歯の詰め物や被せ物をセラミックなどの白い素材で治療します。
■費用(自費)
インレー:1 本あたり 55,000円~66,000円(税込)
クラウン:1 本あたり 44,000円~143,000万円(税込)
ラミネートべニア:1 本あたり 55,000円~(税込)
■治療期間及び回数
症状によりますが、処置自体は通院1~2 回で完了します。
■副作用・リスク
・銀歯に比べて厚みがあるため、歯を削る量が若干多くなります。
・歯ぎしりなどにより稀に破損する場合があります。







