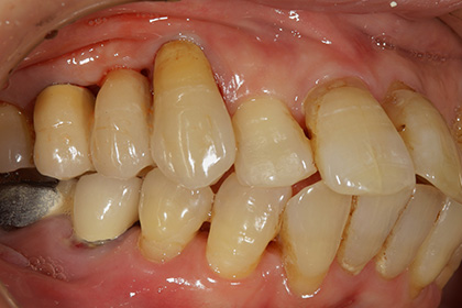
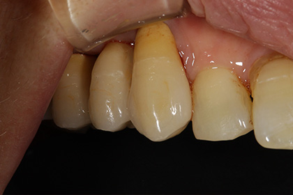
施術前
もともと右上犬歯(前歯から数えて3番目)にメタルボンドが入っていたがそれを除去し、犬歯から5番目の小臼歯までを連結したブリッジにするという内容です。
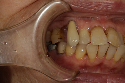
施術中
既存のかぶせものを外し、形成が終わった状態です。
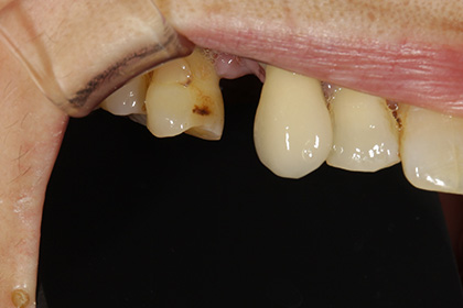
施術後
メタルボンドが入った状態。メタルボンドは金属を使うのがデメリットで、金属アレルギーのある方には禁忌となりますが、昔から使われているので信頼度は高い補綴物(かぶせ)です。
費用:24万円 (1本8万円✖️3本) 税抜
■治療内容
歯の詰め物や被せ物をセラミックなどの白い素材で治療します。
■費用(自費)
インレー:1 本あたり 55,000円~66,000円(税込)
クラウン:1 本あたり 44,000円~143,000万円(税込)
ラミネートべニア:1 本あたり 55,000円~(税込)
■治療期間及び回数
症状によりますが、処置自体は通院1~2 回で完了します。
■副作用・リスク
・銀歯に比べて厚みがあるため、歯を削る量が若干多くなります。
・歯ぎしりなどにより稀に破損する場合があります。











