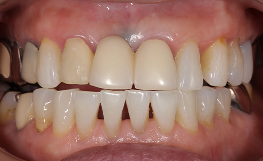
施術前
保険適応のブリッジを入れておられたのですが、時の経過とともに他の歯との色味の差が気になるという事で今回ジルコニアのブリッジにしました。
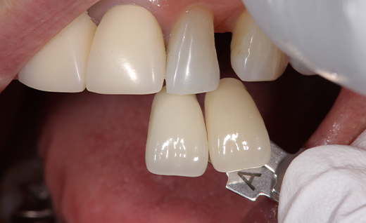
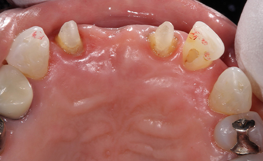
このように他の歯と色味を合わせ確認しながら進めていきます。
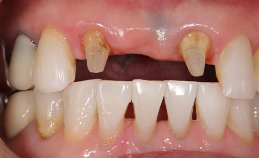
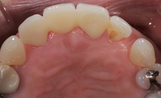
施術中
保険適応のブリッジを外し、新しいジルコニアのブリッジをするための土台を形成していきます。
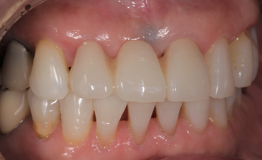
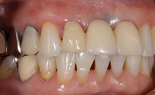
施術後
術後です。術前に周りの歯と色味を合わせているので、ほとんど気になることはなくなります。
前歯は笑うとどうしても見えてしまうため、ついつい気にして笑顔が遠慮がちになってしまいます。
自費治療にて審美治療を行う事で気にせず思いっきり笑ってみませんか。
今回はジルコニア3本の治療となりした。料金は1本132,000円(税込)×3となります。
保険適応の歯の色味の違いでお悩みの方は是非お気軽にご相談ください。
■治療内容
歯の詰め物や被せ物をセラミックなどの白い素材で治療します。
■費用(自費)
インレー:1 本あたり 55,000円~66,000円(税込)
クラウン:1 本あたり 44,000円~143,000万円(税込)
ラミネートべニア:1 本あたり 55,000円~(税込)
■治療期間及び回数
症状によりますが、処置自体は通院1~2 回で完了します。
■副作用・リスク
・銀歯に比べて厚みがあるため、歯を削る量が若干多くなります。
・歯ぎしりなどにより稀に破損する場合があります。











