施術例
抜歯の後にジルコニアでブリッジにした症例
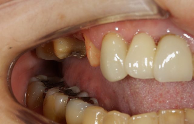
施術前
歯根が破折してしまい、義歯になった右上の第一小臼歯・第一大臼歯をブリッジにすることになりました。素材は強さが特徴のジルコニアです。ジルコニアは強さはもちろん、自然な色味になるということで比較的選ばれることが多い素材です。特に奥歯などかみしめる個所にはおすすめです。
施術中
型をとるために既存の歯を削ったところです。この部分を覆いかぶせるようにブリッジにしていきます。
施術後
施術後です。この部分はかみしめることが多いので強さのあるジルコニアは最適です。また色味もまわりの歯と自然な感じとなっています。ジルコニアは1本12万円(税別)です。今回は3本分の治療となりました。
治療内容
歯の詰め物や被せ物をセラミックなどの白い素材で治療します。
費用(自費)
- インレー:1 本あたり 55,000円~66,000円(税込)
- クラウン:1 本あたり 44,000円~143,000万円(税込)
- ラミネートべニア:1 本あたり 55,000円~(税込)
治療期間及び回数
症状によりますが、処置自体は通院1~2 回で完了します。
副作用・リスク
- 銀歯に比べて厚みがあるため、歯を削る量が若干多くなります。
- 歯ぎしりなどにより稀に破損する場合があります。


