施術前
前歯が抜けた状態の場合は両隣の歯を利用し被せるという治療を行うのですが、両隣の歯を利用して被せることなく、裏面にメタルボンドの金属部分を延長して両隣の面に接着して固定することができる場合があります。
誰でもできるわけではなく、かみ合わせによってできる場合がありますが、今回の患者さんには適応となりました。
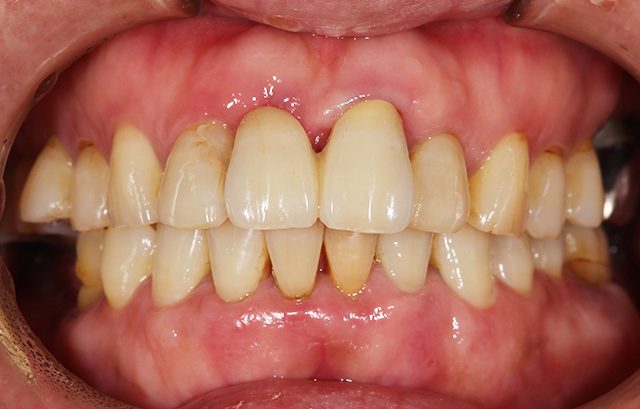
施術後
歯の裏面で固定するので前からは自然にな見え方になります。両側の歯を削らないというところがポイントとなります。
メタルボンドでの治療は1本8.8万円となります。
今回の治療はだれでもできるというものではありませんが、前歯を欠損されている方はお気軽にご相談ください。
■治療内容
歯の詰め物や被せ物をセラミックなどの白い素材で治療します。
■費用(自費)
インレー:1 本あたり 55,000円~66,000円(税込)
クラウン:1 本あたり 44,000円~143,000万円(税込)
ラミネートべニア:1 本あたり 55,000円~(税込)
■治療期間及び回数
症状によりますが、処置自体は通院1~2 回で完了します。
■副作用・リスク
・銀歯に比べて厚みがあるため、歯を削る量が若干多くなります。
・歯ぎしりなどにより稀に破損する場合があります。





