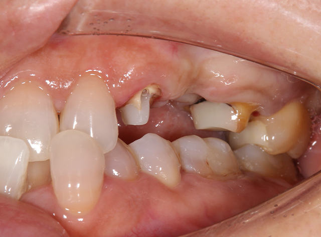
施術前
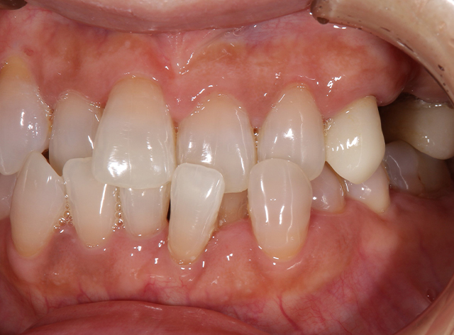
施術中
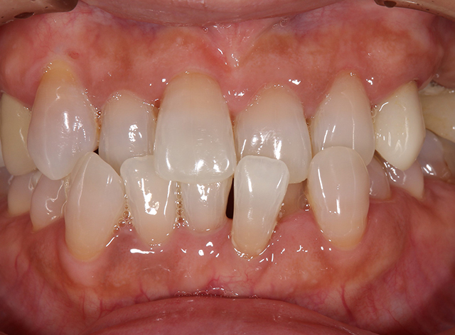
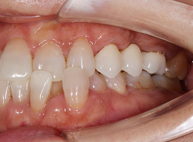
施術後
抜歯した歯の前後の歯を利用し橋を架けるように被せるブリッジにより、欠損した個所を補う事ができます。
見た目も周りの歯と色も合わせやすく違和感なく仕上がるのが大きな特徴です。
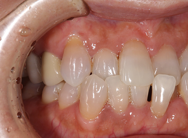
歯が割れて抜歯しなければならないとなった時には患者さんは少し動揺されましたが、今回のジルコニアブリッジの施術を詳しく説明させていただくことで徐々に不安感が少なくなり、術後は自分の歯とほとんど変わならい噛み心地を実感され大変喜んでおられました。
今回のように何らかの原因で歯が欠けたり、割れたり、抜けたりしてもブリッジのように前後の歯を利用して補う事ができます。
もしこのような状況でお悩みの方はお気軽にご相談くださいね。
■治療内容
歯の詰め物や被せ物をセラミックなどの白い素材で治療します。
■費用(自費)
インレー:1 本あたり 55,000円~66,000円(税込)
クラウン:1 本あたり 44,000円~143,000万円(税込)
ラミネートべニア:1 本あたり 55,000円~(税込)
■治療期間及び回数
症状によりますが、処置自体は通院1~2 回で完了します。
■副作用・リスク
・銀歯に比べて厚みがあるため、歯を削る量が若干多くなります。
・歯ぎしりなどにより稀に破損する場合があります。










