飛び出した前歯横の側切歯(そくせっし)を抜きジルコニアブリッジにした術例 施術前 施術後 施術例詳細へ 保険のブリッジをジルコニアのブリッジに変更した術例 施術前 施術後 施術例詳細へ 古くなったメタルボンドブリッジが破折したのでジルコニアに変更した術例 施術前 施術後 施術例詳細へ 前歯2本の詰め物の変色をジルコニアに変更 施術前 施術後 施術例詳細へ 歯根が割れて抜歯し、前後の歯でジルコニアでブリッジにした症例 施術前 施術後 施術例詳細へ ホワイトニング施術後に保険適応の歯をジルコニアへ変更した術例 施術前 施術後 施術例詳細へ 前歯下5本をジルコニアのブリッジにした症例 施術前 施術後 施術例詳細へ 保険適応のブリッジをジルコニアのブリッジにした症例 施術前 施術後 施術例詳細へ 上前歯二本を保険適応からジルコニアにした症例 施術前 施術後 施術例詳細へ 前歯をジルコニアのブリッジにした症例 施術前 施術後 施術例詳細へ 投稿ナビゲーション 過去の投稿 素材別、部位別審美施術例 素材別 オールセラミック クラウン ジルコニア ブリッジ ホワイトニング メタルフリー メタルボンド 保険適応 部位別 すきっ歯 上前歯 上奥歯 下前歯 下奥歯 中切歯 側切歯 大臼歯 小臼歯 犬歯 当サイトでよく読まれています! 2月休診のお知らせ患者さんからの差し入れ❤️GW休診のお知らせお中元サファリパーク🦁ホワイトエッセンスコンテスト10月休診のお知らせ妊娠中の口腔ケア歯周病治療と一緒に禁煙🚭を!歓迎会 岡田歯科医院TOP クリニック紹介 ドクター&スタッフ紹介 初めてご来院の方へ お急ぎの患者様へ 診療科目 健康通信 スタッフブログ お問い合わせ
保険のブリッジをジルコニアのブリッジに変更した術例 施術前 施術後 施術例詳細へ 古くなったメタルボンドブリッジが破折したのでジルコニアに変更した術例 施術前 施術後 施術例詳細へ 前歯2本の詰め物の変色をジルコニアに変更 施術前 施術後 施術例詳細へ 歯根が割れて抜歯し、前後の歯でジルコニアでブリッジにした症例 施術前 施術後 施術例詳細へ ホワイトニング施術後に保険適応の歯をジルコニアへ変更した術例 施術前 施術後 施術例詳細へ 前歯下5本をジルコニアのブリッジにした症例 施術前 施術後 施術例詳細へ 保険適応のブリッジをジルコニアのブリッジにした症例 施術前 施術後 施術例詳細へ 上前歯二本を保険適応からジルコニアにした症例 施術前 施術後 施術例詳細へ 前歯をジルコニアのブリッジにした症例 施術前 施術後 施術例詳細へ 投稿ナビゲーション 過去の投稿 素材別、部位別審美施術例 素材別 オールセラミック クラウン ジルコニア ブリッジ ホワイトニング メタルフリー メタルボンド 保険適応 部位別 すきっ歯 上前歯 上奥歯 下前歯 下奥歯 中切歯 側切歯 大臼歯 小臼歯 犬歯 当サイトでよく読まれています! 2月休診のお知らせ患者さんからの差し入れ❤️GW休診のお知らせお中元サファリパーク🦁ホワイトエッセンスコンテスト10月休診のお知らせ妊娠中の口腔ケア歯周病治療と一緒に禁煙🚭を!歓迎会 岡田歯科医院TOP クリニック紹介 ドクター&スタッフ紹介 初めてご来院の方へ お急ぎの患者様へ 診療科目 健康通信 スタッフブログ お問い合わせ
古くなったメタルボンドブリッジが破折したのでジルコニアに変更した術例 施術前 施術後 施術例詳細へ 前歯2本の詰め物の変色をジルコニアに変更 施術前 施術後 施術例詳細へ 歯根が割れて抜歯し、前後の歯でジルコニアでブリッジにした症例 施術前 施術後 施術例詳細へ ホワイトニング施術後に保険適応の歯をジルコニアへ変更した術例 施術前 施術後 施術例詳細へ 前歯下5本をジルコニアのブリッジにした症例 施術前 施術後 施術例詳細へ 保険適応のブリッジをジルコニアのブリッジにした症例 施術前 施術後 施術例詳細へ 上前歯二本を保険適応からジルコニアにした症例 施術前 施術後 施術例詳細へ 前歯をジルコニアのブリッジにした症例 施術前 施術後 施術例詳細へ 投稿ナビゲーション 過去の投稿 素材別、部位別審美施術例 素材別 オールセラミック クラウン ジルコニア ブリッジ ホワイトニング メタルフリー メタルボンド 保険適応 部位別 すきっ歯 上前歯 上奥歯 下前歯 下奥歯 中切歯 側切歯 大臼歯 小臼歯 犬歯 当サイトでよく読まれています! 2月休診のお知らせ患者さんからの差し入れ❤️GW休診のお知らせお中元サファリパーク🦁ホワイトエッセンスコンテスト10月休診のお知らせ妊娠中の口腔ケア歯周病治療と一緒に禁煙🚭を!歓迎会 岡田歯科医院TOP クリニック紹介 ドクター&スタッフ紹介 初めてご来院の方へ お急ぎの患者様へ 診療科目 健康通信 スタッフブログ お問い合わせ
前歯2本の詰め物の変色をジルコニアに変更 施術前 施術後 施術例詳細へ 歯根が割れて抜歯し、前後の歯でジルコニアでブリッジにした症例 施術前 施術後 施術例詳細へ ホワイトニング施術後に保険適応の歯をジルコニアへ変更した術例 施術前 施術後 施術例詳細へ 前歯下5本をジルコニアのブリッジにした症例 施術前 施術後 施術例詳細へ 保険適応のブリッジをジルコニアのブリッジにした症例 施術前 施術後 施術例詳細へ 上前歯二本を保険適応からジルコニアにした症例 施術前 施術後 施術例詳細へ 前歯をジルコニアのブリッジにした症例 施術前 施術後 施術例詳細へ 投稿ナビゲーション 過去の投稿 素材別、部位別審美施術例 素材別 オールセラミック クラウン ジルコニア ブリッジ ホワイトニング メタルフリー メタルボンド 保険適応 部位別 すきっ歯 上前歯 上奥歯 下前歯 下奥歯 中切歯 側切歯 大臼歯 小臼歯 犬歯 当サイトでよく読まれています! 2月休診のお知らせ患者さんからの差し入れ❤️GW休診のお知らせお中元サファリパーク🦁ホワイトエッセンスコンテスト10月休診のお知らせ妊娠中の口腔ケア歯周病治療と一緒に禁煙🚭を!歓迎会 岡田歯科医院TOP クリニック紹介 ドクター&スタッフ紹介 初めてご来院の方へ お急ぎの患者様へ 診療科目 健康通信 スタッフブログ お問い合わせ
歯根が割れて抜歯し、前後の歯でジルコニアでブリッジにした症例 施術前 施術後 施術例詳細へ ホワイトニング施術後に保険適応の歯をジルコニアへ変更した術例 施術前 施術後 施術例詳細へ 前歯下5本をジルコニアのブリッジにした症例 施術前 施術後 施術例詳細へ 保険適応のブリッジをジルコニアのブリッジにした症例 施術前 施術後 施術例詳細へ 上前歯二本を保険適応からジルコニアにした症例 施術前 施術後 施術例詳細へ 前歯をジルコニアのブリッジにした症例 施術前 施術後 施術例詳細へ 投稿ナビゲーション 過去の投稿 素材別、部位別審美施術例 素材別 オールセラミック クラウン ジルコニア ブリッジ ホワイトニング メタルフリー メタルボンド 保険適応 部位別 すきっ歯 上前歯 上奥歯 下前歯 下奥歯 中切歯 側切歯 大臼歯 小臼歯 犬歯 当サイトでよく読まれています! 2月休診のお知らせ患者さんからの差し入れ❤️GW休診のお知らせお中元サファリパーク🦁ホワイトエッセンスコンテスト10月休診のお知らせ妊娠中の口腔ケア歯周病治療と一緒に禁煙🚭を!歓迎会 岡田歯科医院TOP クリニック紹介 ドクター&スタッフ紹介 初めてご来院の方へ お急ぎの患者様へ 診療科目 健康通信 スタッフブログ お問い合わせ
ホワイトニング施術後に保険適応の歯をジルコニアへ変更した術例 施術前 施術後 施術例詳細へ 前歯下5本をジルコニアのブリッジにした症例 施術前 施術後 施術例詳細へ 保険適応のブリッジをジルコニアのブリッジにした症例 施術前 施術後 施術例詳細へ 上前歯二本を保険適応からジルコニアにした症例 施術前 施術後 施術例詳細へ 前歯をジルコニアのブリッジにした症例 施術前 施術後 施術例詳細へ 投稿ナビゲーション 過去の投稿 素材別、部位別審美施術例 素材別 オールセラミック クラウン ジルコニア ブリッジ ホワイトニング メタルフリー メタルボンド 保険適応 部位別 すきっ歯 上前歯 上奥歯 下前歯 下奥歯 中切歯 側切歯 大臼歯 小臼歯 犬歯 当サイトでよく読まれています! 2月休診のお知らせ患者さんからの差し入れ❤️GW休診のお知らせお中元サファリパーク🦁ホワイトエッセンスコンテスト10月休診のお知らせ妊娠中の口腔ケア歯周病治療と一緒に禁煙🚭を!歓迎会 岡田歯科医院TOP クリニック紹介 ドクター&スタッフ紹介 初めてご来院の方へ お急ぎの患者様へ 診療科目 健康通信 スタッフブログ お問い合わせ
前歯下5本をジルコニアのブリッジにした症例 施術前 施術後 施術例詳細へ 保険適応のブリッジをジルコニアのブリッジにした症例 施術前 施術後 施術例詳細へ 上前歯二本を保険適応からジルコニアにした症例 施術前 施術後 施術例詳細へ 前歯をジルコニアのブリッジにした症例 施術前 施術後 施術例詳細へ 投稿ナビゲーション 過去の投稿 素材別、部位別審美施術例 素材別 オールセラミック クラウン ジルコニア ブリッジ ホワイトニング メタルフリー メタルボンド 保険適応 部位別 すきっ歯 上前歯 上奥歯 下前歯 下奥歯 中切歯 側切歯 大臼歯 小臼歯 犬歯 当サイトでよく読まれています! 2月休診のお知らせ患者さんからの差し入れ❤️GW休診のお知らせお中元サファリパーク🦁ホワイトエッセンスコンテスト10月休診のお知らせ妊娠中の口腔ケア歯周病治療と一緒に禁煙🚭を!歓迎会 岡田歯科医院TOP クリニック紹介 ドクター&スタッフ紹介 初めてご来院の方へ お急ぎの患者様へ 診療科目 健康通信 スタッフブログ お問い合わせ
保険適応のブリッジをジルコニアのブリッジにした症例 施術前 施術後 施術例詳細へ 上前歯二本を保険適応からジルコニアにした症例 施術前 施術後 施術例詳細へ 前歯をジルコニアのブリッジにした症例 施術前 施術後 施術例詳細へ 投稿ナビゲーション 過去の投稿 素材別、部位別審美施術例 素材別 オールセラミック クラウン ジルコニア ブリッジ ホワイトニング メタルフリー メタルボンド 保険適応 部位別 すきっ歯 上前歯 上奥歯 下前歯 下奥歯 中切歯 側切歯 大臼歯 小臼歯 犬歯 当サイトでよく読まれています! 2月休診のお知らせ患者さんからの差し入れ❤️GW休診のお知らせお中元サファリパーク🦁ホワイトエッセンスコンテスト10月休診のお知らせ妊娠中の口腔ケア歯周病治療と一緒に禁煙🚭を!歓迎会 岡田歯科医院TOP クリニック紹介 ドクター&スタッフ紹介 初めてご来院の方へ お急ぎの患者様へ 診療科目 健康通信 スタッフブログ お問い合わせ
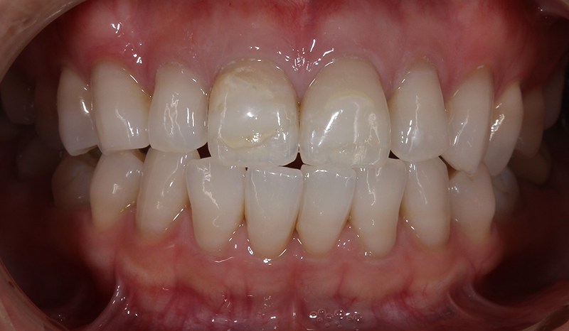
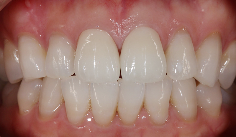
上前歯二本を保険適応からジルコニアにした症例 施術前 施術後 施術例詳細へ 前歯をジルコニアのブリッジにした症例 施術前 施術後 施術例詳細へ 投稿ナビゲーション 過去の投稿 素材別、部位別審美施術例 素材別 オールセラミック クラウン ジルコニア ブリッジ ホワイトニング メタルフリー メタルボンド 保険適応 部位別 すきっ歯 上前歯 上奥歯 下前歯 下奥歯 中切歯 側切歯 大臼歯 小臼歯 犬歯
前歯をジルコニアのブリッジにした症例 施術前 施術後 施術例詳細へ 投稿ナビゲーション 過去の投稿 素材別、部位別審美施術例 素材別 オールセラミック クラウン ジルコニア ブリッジ ホワイトニング メタルフリー メタルボンド 保険適応 部位別 すきっ歯 上前歯 上奥歯 下前歯 下奥歯 中切歯 側切歯 大臼歯 小臼歯 犬歯