施術前
ホワイトニングを施術され白くなり大変喜んでいただいたのですが、上前歯4本の保険の歯との色味に差が出たため今回ジルコニアに変更させていただきました。
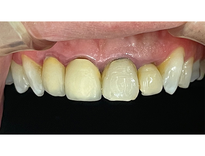
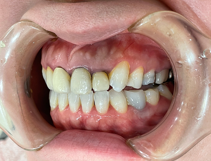
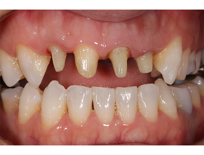
施術中
ホワイトニングを施術した部分と今回施術するジルコニアの色味を合わせていきます。色味が決まればジルコニアを被せるための土台を形成していきます。
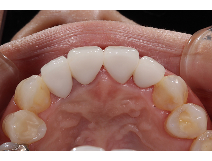
施術後
ジルコニアに変更することで歯ぐきとの境目の黒ずみも目立つことなく、ホワイトニングを行ったまわりの白い歯と自然と合わすことができ大変喜んでいただきました。
ジルコニアは色味も合わせやすく強度もあるため安心です。施術にかかる費用は1本132,000円(税込)となります。
歯を白くしたい、保険適応の歯が変色してきたなどでお悩みの方は是非お気軽にご相談ください。
■治療内容
歯の詰め物や被せ物をセラミックなどの白い素材で治療します。
■費用(自費)
インレー:1 本あたり 55,000円~66,000円(税込)
クラウン:1 本あたり 44,000円~143,000万円(税込)
ラミネートべニア:1 本あたり 55,000円~(税込)
■治療期間及び回数
症状によりますが、処置自体は通院1~2 回で完了します。
■副作用・リスク
・銀歯に比べて厚みがあるため、歯を削る量が若干多くなります。
・歯ぎしりなどにより稀に破損する場合があります。










