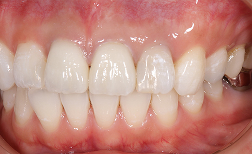
施術前
歯を白くしたいとホワイトニングを行い白くなったのですが、保険適応の前歯2本の被せものが白くならないので白くなった周りの歯と合わせるためにジルコニアしました。ジルコニアは強度があり色味も合わせられるので前歯には向いています。
施術後
術後です。周りの歯とも色味があいとても自然な仕上がりとなります。ジルコニアで強度もあり安心です。
料金は1本132,000円(税込)となります。今回の場合2本の料金となります。
ホワイトニングしたのだけど保険の被せものと色があわないといったお悩みを持っておられる方は是非ご相談ください。
■治療内容
歯の詰め物や被せ物をセラミックなどの白い素材で治療します。
■費用(自費)
インレー:1 本あたり 55,000円~66,000円(税込)
クラウン:1 本あたり 44,000円~143,000万円(税込)
ラミネートべニア:1 本あたり 55,000円~(税込)
■治療期間及び回数
症状によりますが、処置自体は通院1~2 回で完了します。
■副作用・リスク
・銀歯に比べて厚みがあるため、歯を削る量が若干多くなります。
・歯ぎしりなどにより稀に破損する場合があります。



