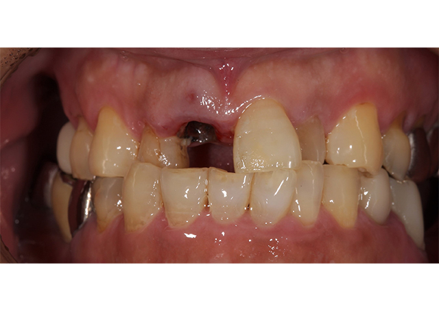
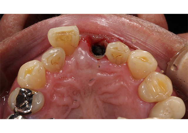
施術前
前歯の抜歯後の写真です。
ここにジルコニアをブリッジにより施術します。
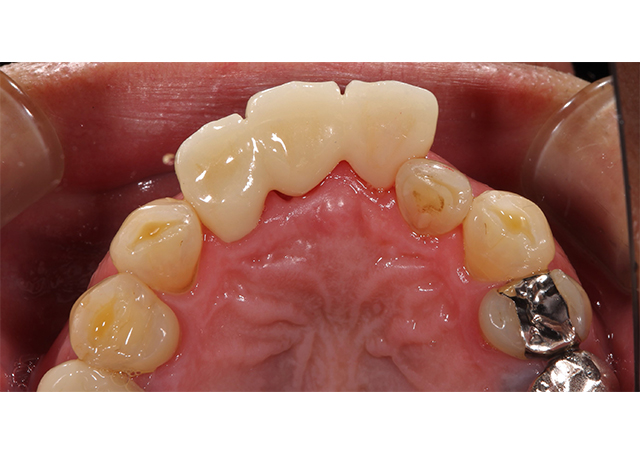
施術後
ジルコニアのブリッジ施術後の写真です。
ジルコニアは金属と同等の強度があり、割れたりかけたりすることが少ない強い素材です。見た目もセラミックと同等に自然な仕上がりになるためとても優れた素材となります。
金額は1本132,000円(税込)で今回は両サイドを利用したブリッジによる施術で計3本となります。
このように前歯の欠損や前歯の審美に興味ある方は是非お気軽にご相談ください。
■治療内容
歯の詰め物や被せ物をセラミックなどの白い素材で治療します。
■費用(自費)
インレー:1 本あたり 55,000円~66,000円(税込)
クラウン:1 本あたり 44,000円~143,000万円(税込)
ラミネートべニア:1 本あたり 55,000円~(税込)
■治療期間及び回数
症状によりますが、処置自体は通院1~2 回で完了します。
■副作用・リスク
・銀歯に比べて厚みがあるため、歯を削る量が若干多くなります。
・歯ぎしりなどにより稀に破損する場合があります。





