施術例
セラミックのブリッジで審美回復した症例
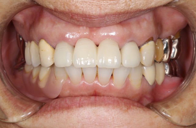
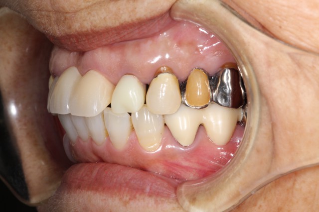
施術前
長年の虫歯や歯の欠損により、見た目や噛み合わせにお悩みを抱えていらっしゃいました。前歯部の隙間や変色が特に気になっており、「自然な見た目に戻したい」とご相談いただきました。
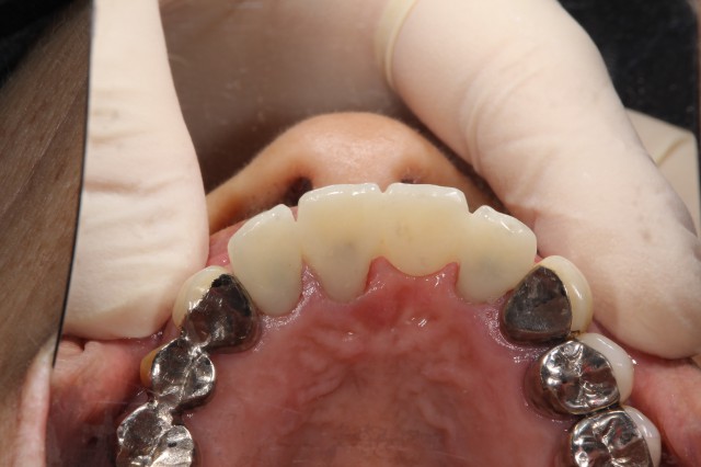
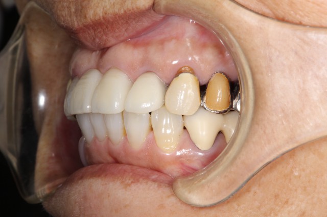
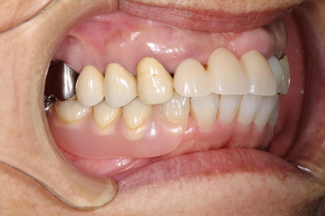
施術後
セラミックブリッジの装着により、自然で調和の取れた口元に生まれ変わりました。色調や形態も周囲の歯と違和感なく仕上がり、患者様からは「思い切って治療してよかった」と嬉しいお言葉をいただきました。見た目だけでなく、噛む力や発音も改善され、機能面でも満足していただける結果となりました。
治療内容
歯の詰め物や被せ物をセラミックなどの白い素材で治療します。
費用(自費)
- インレー:1 本あたり 55,000円~66,000円(税込)
- クラウン:1 本あたり 44,000円~143,000万円(税込)
- ラミネートべニア:1 本あたり 55,000円~(税込)
治療期間及び回数
症状によりますが、処置自体は通院1~2 回で完了します。
副作用・リスク
- 銀歯に比べて厚みがあるため、歯を削る量が若干多くなります。
- 歯ぎしりなどにより稀に破損する場合があります。


