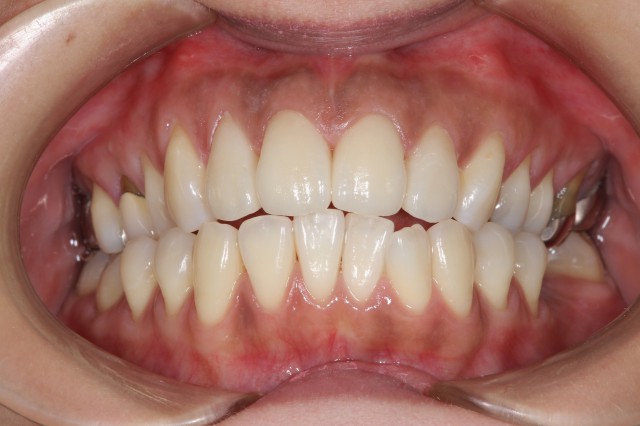
施術前
前歯の歯並びが気になり、少し出っ歯気味になっておられご相談いただきました。特に上前歯3本の歯並びが乱れていることが気になっており、見た目の改善を希望されました。今回は、審美性の高い オールセラミック を使用し、自然な仕上がりを目指します。
施術中
オールセラミックを装着するための 土台を形成 している段階です。歯の形を整え、適切な支えを作ることで、セラミックがしっかりとフィットし、より美しい仕上がりになります。精密に調整しながら進めています。
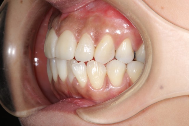
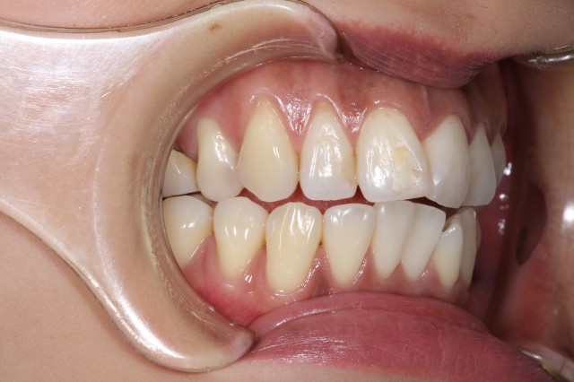
施術後
オールセラミックを装着し、自然で美しい前歯 へと仕上げることができました。歯並びのバランスが整い、透明感のあるセラミックが本来の歯のように馴染んでいます。患者様にも「口元の印象が明るくなった!」と大変ご満足いただきました。
歯並びや審美性でお悩みの方は、ぜひお気軽にご相談ください!
■治療内容
歯の詰め物や被せ物をセラミックなどの白い素材で治療します。
■費用(自費)
インレー:1 本あたり 55,000円~66,000円(税込)
クラウン:1 本あたり 44,000円~143,000万円(税込)
ラミネートべニア:1 本あたり 55,000円~(税込)
■治療期間及び回数
症状によりますが、処置自体は通院1~2 回で完了します。
■副作用・リスク
・銀歯に比べて厚みがあるため、歯を削る量が若干多くなります。
・歯ぎしりなどにより稀に破損する場合があります。













