施術前
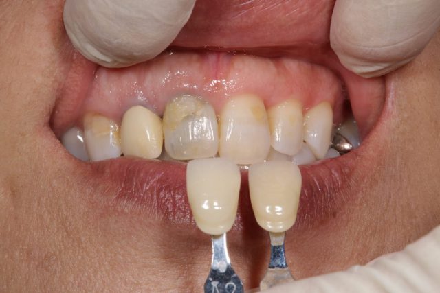
施術中
施術後
歯茎部が黒いのが気になっておられた患者様にオールセラミックかぶせ物を施術いたしました。ご覧のとおり施術後にはキレイな白い歯が実現しております。施術前には現在の歯としっかりと色あわせを行い確認して一番近い色を判断して施術していきます。
■治療内容
歯の詰め物や被せ物をセラミックなどの白い素材で治療します。
■費用(自費)
インレー:1 本あたり 55,000円~66,000円(税込)
クラウン:1 本あたり 44,000円~143,000万円(税込)
ラミネートべニア:1 本あたり 55,000円~(税込)
■治療期間及び回数
症状によりますが、処置自体は通院1~2 回で完了します。
■副作用・リスク
・銀歯に比べて厚みがあるため、歯を削る量が若干多くなります。
・歯ぎしりなどにより稀に破損する場合があります。




