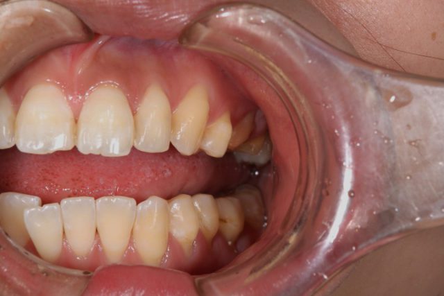
施術前
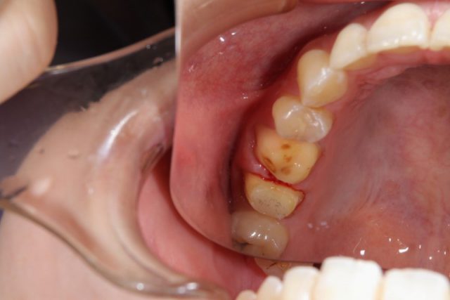
施術中
施術後
これまでのむし歯治療では治療跡が目立つことがありましたが、オールセラミックのクラウンにすることで、治療後の見た目がほとんど自然でわからなくなります。オールセラミックは金属を使用しないため、口腔内でのストレスが軽減される点も特徴です。また、銀の詰め物のように目立つことがなく、仕上がりが非常に美しいのも魅力です。
銀の詰め物が気になる方や、噛み合わせの違和感、物が詰まりやすいといったお悩みがある方は、ぜひ一度ご相談ください。
■治療内容
歯の詰め物や被せ物をセラミックなどの白い素材で治療します。
■費用(自費)
インレー:1 本あたり 55,000円~66,000円(税込)
クラウン:1 本あたり 44,000円~143,000万円(税込)
ラミネートべニア:1 本あたり 55,000円~(税込)
■治療期間及び回数
症状によりますが、処置自体は通院1~2 回で完了します。
■副作用・リスク
・銀歯に比べて厚みがあるため、歯を削る量が若干多くなります。
・歯ぎしりなどにより稀に破損する場合があります。







