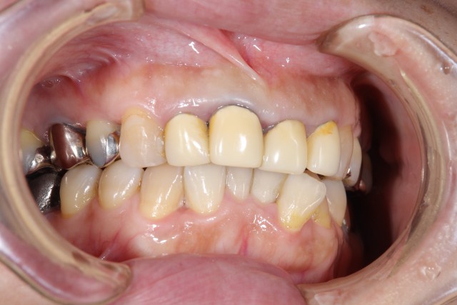
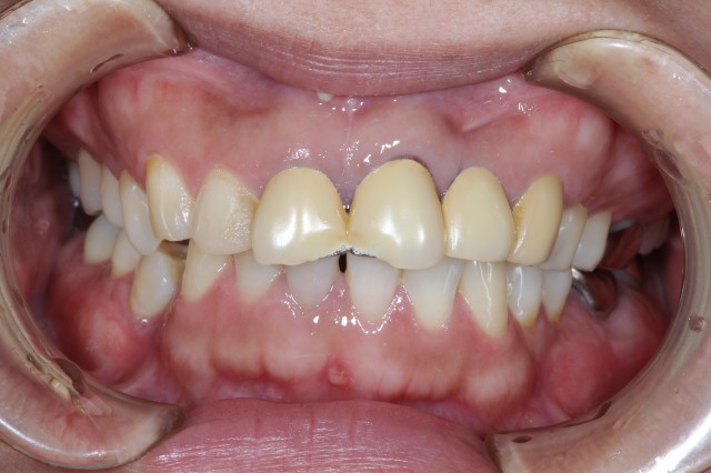
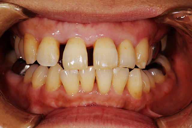
CAD/CAM冠(キャドキャム冠)保健適応による治療例 施術前 施術後 施術例詳細へ 古くなって着色した保険の差し歯を保険内で新しくやり直した症例 施術前 施術後 施術例詳細へ 変色してしまった歯のかぶせ物を保険適応での取替え術例 施術前 施術後 施術例詳細へ かけてしまったかぶせ物を保険適応により作り直した症例 施術前 施術後 施術例詳細へ 素材別、部位別審美施術例 素材別 オールセラミック クラウン ジルコニア ブリッジ ホワイトニング メタルフリー メタルボンド 保険適応 部位別 すきっ歯 上前歯 上奥歯 下前歯 下奥歯 中切歯 側切歯 大臼歯 小臼歯 犬歯 当サイトでよく読まれています! 妊娠中の虫歯治療年末年始の休診についてサファリパーク🦁歯周病治療と一緒に禁煙🚭を!GW休診のお知らせUSJ クールジャパン!液体歯磨きと洗口液の違いWhiteday✨お口ポカンの影響御歳暮 岡田歯科医院TOP クリニック紹介 ドクター&スタッフ紹介 初めてご来院の方へ お急ぎの患者様へ 診療科目 健康通信 スタッフブログ お問い合わせ
古くなって着色した保険の差し歯を保険内で新しくやり直した症例 施術前 施術後 施術例詳細へ 変色してしまった歯のかぶせ物を保険適応での取替え術例 施術前 施術後 施術例詳細へ かけてしまったかぶせ物を保険適応により作り直した症例 施術前 施術後 施術例詳細へ 素材別、部位別審美施術例 素材別 オールセラミック クラウン ジルコニア ブリッジ ホワイトニング メタルフリー メタルボンド 保険適応 部位別 すきっ歯 上前歯 上奥歯 下前歯 下奥歯 中切歯 側切歯 大臼歯 小臼歯 犬歯 当サイトでよく読まれています! 妊娠中の虫歯治療年末年始の休診についてサファリパーク🦁歯周病治療と一緒に禁煙🚭を!GW休診のお知らせUSJ クールジャパン!液体歯磨きと洗口液の違いWhiteday✨お口ポカンの影響御歳暮 岡田歯科医院TOP クリニック紹介 ドクター&スタッフ紹介 初めてご来院の方へ お急ぎの患者様へ 診療科目 健康通信 スタッフブログ お問い合わせ
変色してしまった歯のかぶせ物を保険適応での取替え術例 施術前 施術後 施術例詳細へ かけてしまったかぶせ物を保険適応により作り直した症例 施術前 施術後 施術例詳細へ 素材別、部位別審美施術例 素材別 オールセラミック クラウン ジルコニア ブリッジ ホワイトニング メタルフリー メタルボンド 保険適応 部位別 すきっ歯 上前歯 上奥歯 下前歯 下奥歯 中切歯 側切歯 大臼歯 小臼歯 犬歯
かけてしまったかぶせ物を保険適応により作り直した症例 施術前 施術後 施術例詳細へ 素材別、部位別審美施術例 素材別 オールセラミック クラウン ジルコニア ブリッジ ホワイトニング メタルフリー メタルボンド 保険適応 部位別 すきっ歯 上前歯 上奥歯 下前歯 下奥歯 中切歯 側切歯 大臼歯 小臼歯 犬歯