施術例
かけてしまったかぶせ物を保険適応により作り直した症例
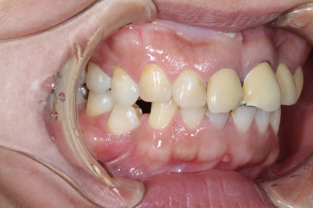
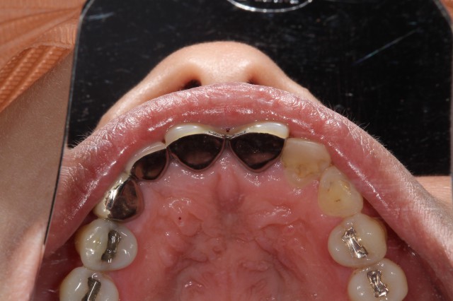
施術前
以前にかぶせ物を作られたのですが、かけてしまったということで新しく保険適応のかぶせ物を作りなおしさせて頂きました。
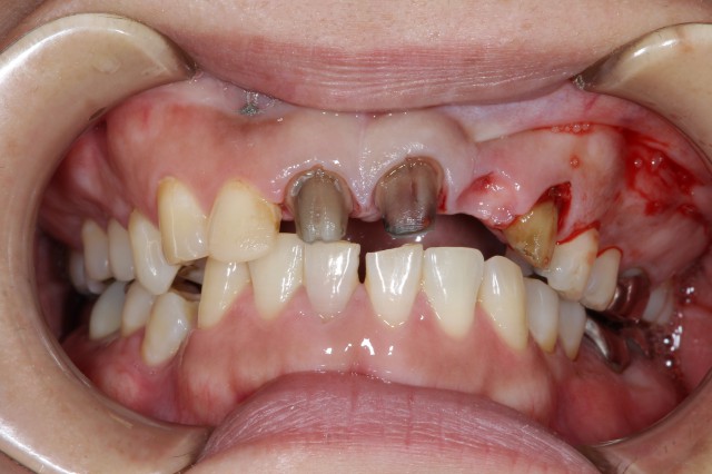
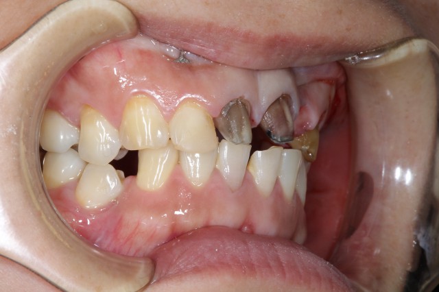
施術中
かけたかぶせ物をはずし新しく作り直したかぶせ物を取り付ける準備を行います。
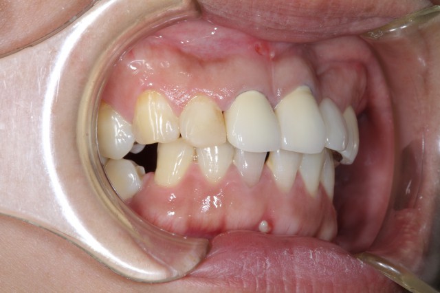
施術後
かけて斜めになっていた部分もきれいに隣の歯と整いすこし変色していたかぶせ物は美しくきれいに生まれ変わりました。歯が白くキレイだととても笑顔が素敵になります。かぶせ物の変色や変形などのお悩みの方は是非一度ご相談ください。
治療内容
歯の詰め物や被せ物をセラミックなどの白い素材で治療します。
費用(自費)
- インレー:1 本あたり 55,000円~66,000円(税込)
- クラウン:1 本あたり 44,000円~143,000万円(税込)
- ラミネートべニア:1 本あたり 55,000円~(税込)
治療期間及び回数
症状によりますが、処置自体は通院1~2 回で完了します。
副作用・リスク
- 銀歯に比べて厚みがあるため、歯を削る量が若干多くなります。
- 歯ぎしりなどにより稀に破損する場合があります。


