施術例
変色してしまった歯のかぶせ物を保険適応での取替え術例
施術前
以前も保険が適応される被せ物をされていましたが、前歯3本の変色が気になるということで今回も保険適応での取替えを行いました。
施術中
取り付けてあった被せ物を取りのぞき現在の患者様にあった歯の型を取り義歯を制作していきます。
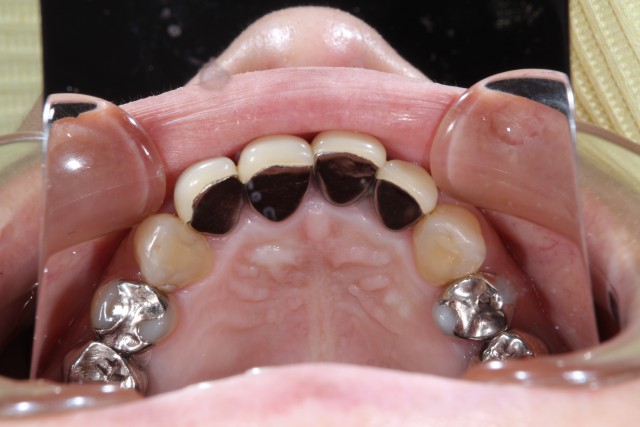
施術後
まわりの歯との色味が自然と合い非常に清潔なイメージと生まれ変わり非常にうれしいと喜んでおられました。
保険適応の被せ物はレジンという樹脂で作られており比較的安価で被せ物の交換が可能です。しかし、唾液の成分を吸収し時間がたてば変色していってしまいます。
術後時間がたたない間はきれいですが、年々変色して同じ結果となってしまうというところが自費診療と大きく異なるところです。
変色を抑え被せ物を長持ちさせたいという方は自費診療による被せもを是非おすすめいたします。岡田歯科医院では患者様のご要望により最適な被せ物のご提案もさせてていただいております。
被せ物交換をご検討の方は是非お気軽にご相談ください。
治療内容
歯の詰め物や被せ物をセラミックなどの白い素材で治療します。
費用(自費)
- インレー:1 本あたり 55,000円~66,000円(税込)
- クラウン:1 本あたり 44,000円~143,000万円(税込)
- ラミネートべニア:1 本あたり 55,000円~(税込)
治療期間及び回数
症状によりますが、処置自体は通院1~2 回で完了します。
副作用・リスク
- 銀歯に比べて厚みがあるため、歯を削る量が若干多くなります。
- 歯ぎしりなどにより稀に破損する場合があります。


