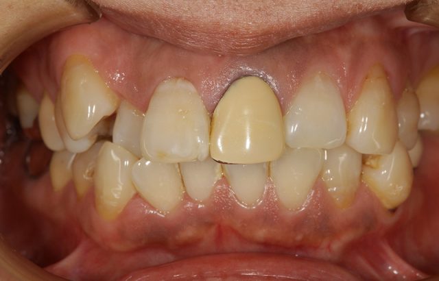
歯の変色・黒ずみをオールセラミッククラウンでやりかえた症例 施術前 施術後 施術例詳細へ 口腔内から金属を取り除くメタルフリー治療 施術前 施術後 施術例詳細へ オールセラミックで銀歯をなくしメタルフリーへ 施術前 施術後 施術例詳細へ 素材別、部位別審美施術例 素材別 オールセラミック クラウン ジルコニア ブリッジ ホワイトニング メタルフリー メタルボンド 保険適応 部位別 すきっ歯 上前歯 上奥歯 下前歯 下奥歯 中切歯 側切歯 大臼歯 小臼歯 犬歯 当サイトでよく読まれています! 妊娠中の虫歯治療年末年始の休診についてサファリパーク🦁歯周病治療と一緒に禁煙🚭を!GW休診のお知らせUSJ クールジャパン!液体歯磨きと洗口液の違いWhiteday✨お口ポカンの影響御歳暮 岡田歯科医院TOP クリニック紹介 ドクター&スタッフ紹介 初めてご来院の方へ お急ぎの患者様へ 診療科目 健康通信 スタッフブログ お問い合わせ
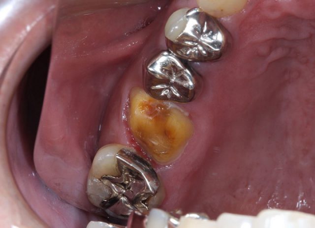
口腔内から金属を取り除くメタルフリー治療 施術前 施術後 施術例詳細へ オールセラミックで銀歯をなくしメタルフリーへ 施術前 施術後 施術例詳細へ 素材別、部位別審美施術例 素材別 オールセラミック クラウン ジルコニア ブリッジ ホワイトニング メタルフリー メタルボンド 保険適応 部位別 すきっ歯 上前歯 上奥歯 下前歯 下奥歯 中切歯 側切歯 大臼歯 小臼歯 犬歯
オールセラミックで銀歯をなくしメタルフリーへ 施術前 施術後 施術例詳細へ 素材別、部位別審美施術例 素材別 オールセラミック クラウン ジルコニア ブリッジ ホワイトニング メタルフリー メタルボンド 保険適応 部位別 すきっ歯 上前歯 上奥歯 下前歯 下奥歯 中切歯 側切歯 大臼歯 小臼歯 犬歯