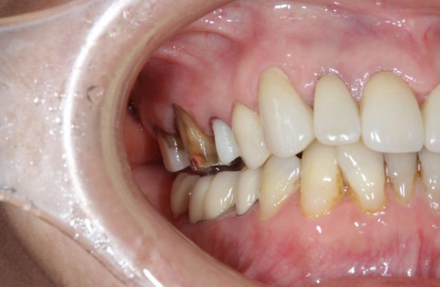
施術前
施術中
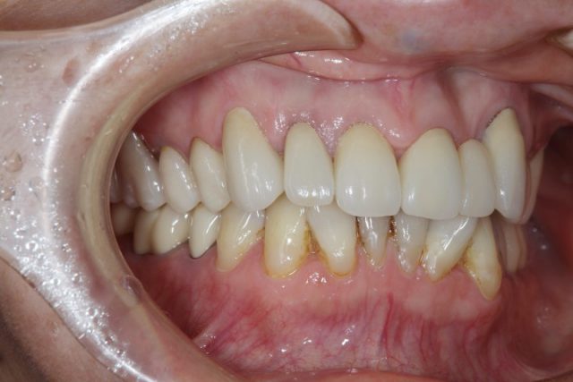
施術後
施術後です。周りの歯の色とも違和感はありません。保険治療の場合は治療部にどうしても違和感が出てしまいますが、オールセラミックによる治療であればほとんど違和感を感じることはありません。また汚れもつきにくいため時がたっても変色などは目立たないというメリットがあります。
「メタルフリー」という言葉をご存知でしょうか。実は口の中に銀歯があることで知らず知らずのうちストレスを感じてしまっているということがあります。そしてそれが原因で頭痛や歯ぎしりなどを起こしている人もいます。このように銀歯により感じているストレスをなくすために口腔内から銀歯をなくしてしまうことを「メタルフリー」と言います。
この患者様のように少しずつ口腔内から銀歯をなくしていくことで知らず知らず感じていたストレスから解放されます。少しでも口腔内にストレスを感じている方は是非お気軽にご相談くださいね。
■治療内容
歯の詰め物や被せ物をセラミックなどの白い素材で治療します。
■費用(自費)
インレー:1 本あたり 55,000円~66,000円(税込)
クラウン:1 本あたり 44,000円~143,000万円(税込)
ラミネートべニア:1 本あたり 55,000円~(税込)
■治療期間及び回数
症状によりますが、処置自体は通院1~2 回で完了します。
■副作用・リスク
・銀歯に比べて厚みがあるため、歯を削る量が若干多くなります。
・歯ぎしりなどにより稀に破損する場合があります。










