施術例
歯の変色・黒ずみをオールセラミッククラウンでやりかえた症例
施術前
以前に保険適応により上前歯に被せ物をされていたところが、変色と歯茎の黒ずみが気になっておられました。また保険適応の被せ物は裏側が黒くなっているということで、それも気にされておりました。
今回は前歯の審美ということで素材の綺麗さに特徴があるオールセラミックにて施術しました。
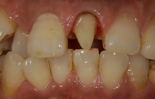
施術中
施術中です。コアというクラウンを被せるための土台はファイバーコアにすることで金属のコアよりもセラミックと同様の透明感ができます。
施術後
施術後です。となりの歯との色味に違いもほとんどわかりません。口を開けてもきれいな仕上がりになっていることがわかります。オールセラミックは1本10万円(税別)となっております。
治療内容
歯の詰め物や被せ物をセラミックなどの白い素材で治療します。
費用(自費)
- インレー:1 本あたり 55,000円~66,000円(税込)
- クラウン:1 本あたり 44,000円~143,000万円(税込)
- ラミネートべニア:1 本あたり 55,000円~(税込)
治療期間及び回数
症状によりますが、処置自体は通院1~2 回で完了します。
副作用・リスク
- 銀歯に比べて厚みがあるため、歯を削る量が若干多くなります。
- 歯ぎしりなどにより稀に破損する場合があります。


