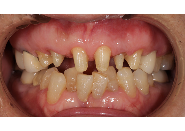
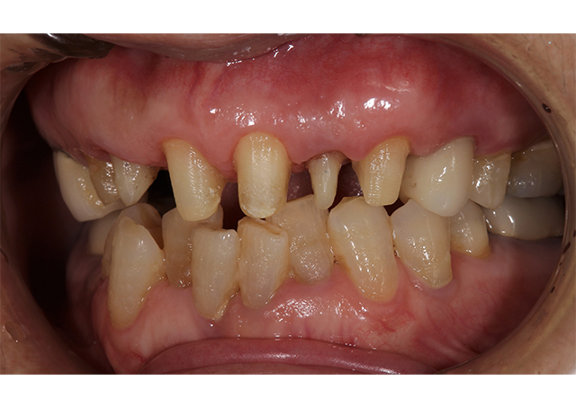
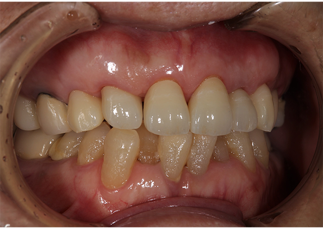
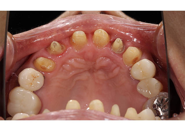
施術前
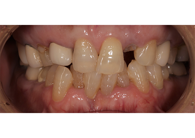
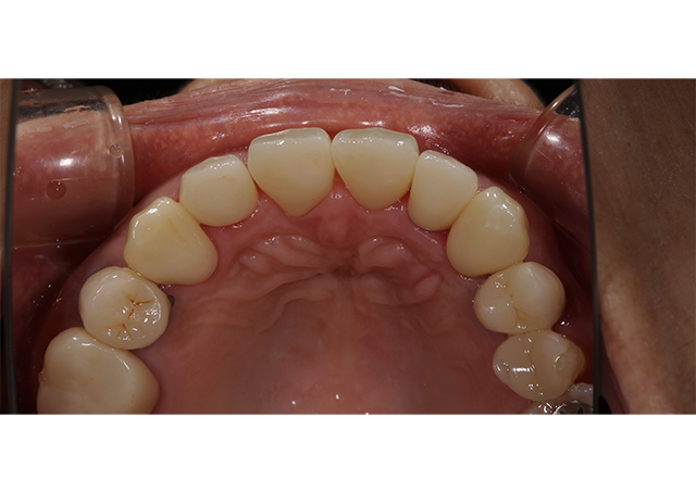
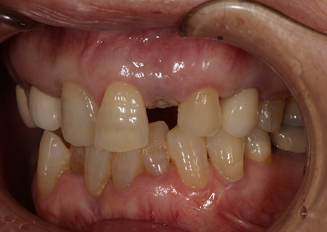
施術中
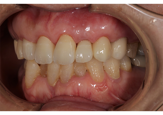
施術後
術後です。6本の施術により隣り合う歯同士の高さもそろい非常に美しく審美回復することができました。今まで前歯に自信のなかった患者さんも生まれ変わった自身の前歯を見てとてもうれしそうにされておられました。
ジルコニアは1本あたりの価格は少し高めですが、強度もあり安心して生活していただけます。ジルコニアに関しては自費治療料金表でご紹介しております。
前歯にコンプレックスや不備、生活のしづらさを感じておられるかは是非お気軽にご相談ください。
■治療内容
歯の詰め物や被せ物をセラミックなどの白い素材で治療します。
■費用(自費)
インレー:1 本あたり 55,000円~66,000円(税込)
クラウン:1 本あたり 44,000円~143,000万円(税込)
ラミネートべニア:1 本あたり 55,000円~(税込)
■治療期間及び回数
症状によりますが、処置自体は通院1~2 回で完了します。
■副作用・リスク
・銀歯に比べて厚みがあるため、歯を削る量が若干多くなります。
・歯ぎしりなどにより稀に破損する場合があります。












