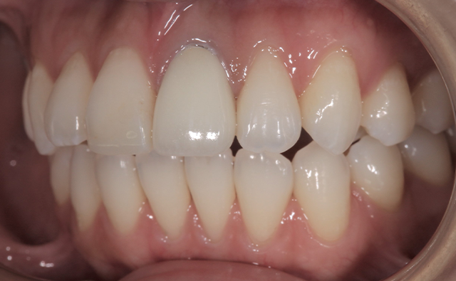
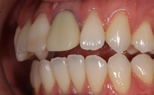
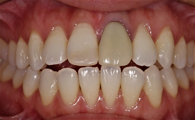
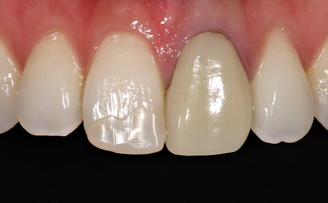
施術前
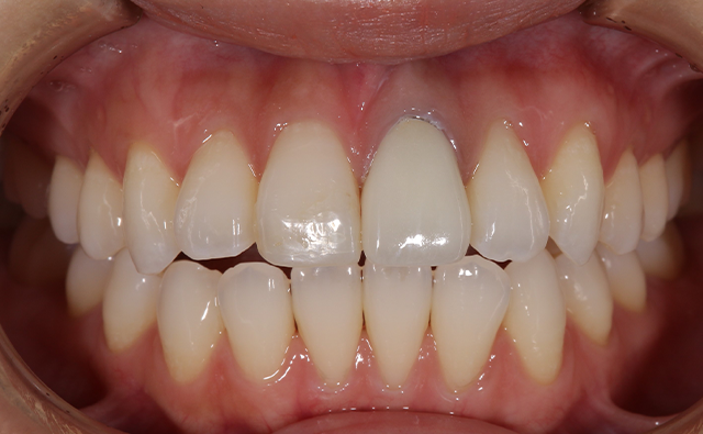
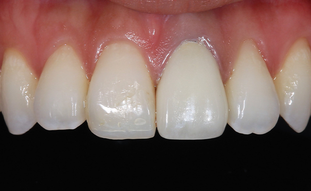
施術後
施術前と施術後を比べるとまわりの歯の色との調和の取れ方が大きく違う事が分かっていただけると思います。まわりの歯の色との少しの違いなのですが、この少しの違いがなくなることでとてもキレイに見えます。きれいになった自身の歯を見てとても喜んでいただけました。オールセラミックによる施術は1本あたり110,000円(税込)となります。前歯の黄ばみや色味の違いを気にされているなら、是非お気軽にお問い合わせください。最善の方法をご提案させていただきます。
■治療内容
歯の詰め物や被せ物をセラミックなどの白い素材で治療します。
■費用(自費)
インレー:1 本あたり 55,000円~66,000円(税込)
クラウン:1 本あたり 44,000円~143,000万円(税込)
ラミネートべニア:1 本あたり 55,000円~(税込)
■治療期間及び回数
症状によりますが、処置自体は通院1~2 回で完了します。
■副作用・リスク
・銀歯に比べて厚みがあるため、歯を削る量が若干多くなります。
・歯ぎしりなどにより稀に破損する場合があります。









