施術例
ホワイトニング後に保健適応の歯の色が気になりジルコニアにて施術
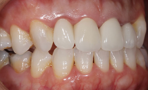
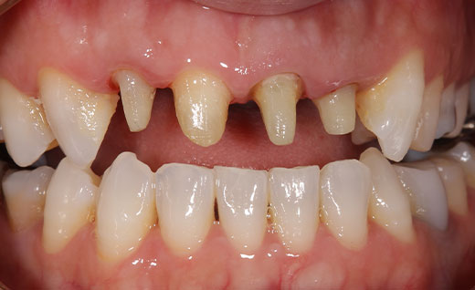
施術前
歯を白くしたいとホワイトニングで来院されホワイトニングを行った後保険適応の被せものがあまり白くならないのが気になられ、今回はジルコニアによる施術となりました。
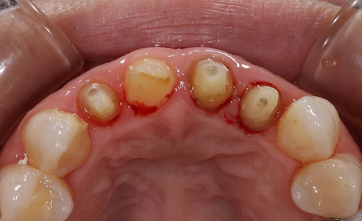
施術中
術中です。このように一旦保険適応の被せものを外し、土台を形成していきます。
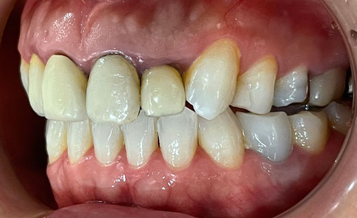
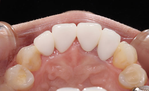
施術後
術後です。前歯4本がジルコニアに変わったことによりとてもきれいになっているのが分かると思います。
このようにホワイトニングは自分の歯は白くできるのですが、保険適応の被せものには限界があり、ホワイトニングをすることで逆にその部分が目立ってしまうという事があります。
このような場合は今回のように自費治療を行う事で周りの歯とも自然な色味を保ちつつきれいに見せることができます。
ジルコニアによる施術は1本あたり12万円になります。
歯を白くしたい、歯の汚れが気になるという方は一度ご相談ください。
まずはホワイトニングを行うのか、自費治療を行うのか最善の方法を一緒に考えさせていただきます。
治療内容
歯の詰め物や被せ物をセラミックなどの白い素材で治療します。
費用(自費)
- インレー:1 本あたり 55,000円~66,000円(税込)
- クラウン:1 本あたり 44,000円~143,000万円(税込)
- ラミネートべニア:1 本あたり 55,000円~(税込)
治療期間及び回数
症状によりますが、処置自体は通院1~2 回で完了します。
副作用・リスク
- 銀歯に比べて厚みがあるため、歯を削る量が若干多くなります。
- 歯ぎしりなどにより稀に破損する場合があります。


