施術例
保険適応の差し歯をジルコニアに変更術例
施術前
歯を白くしたいためにホワイトニングを当院にてされましたが、以前に保険適応にて治療されていた差し歯の部分はホワイトニングをしても白くならないために今回ジルコニアでの審美施術を行われました。
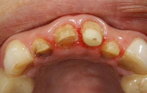
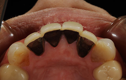
施術中
保険適応の差し歯を外したところです。
土台を再形成して行きます。
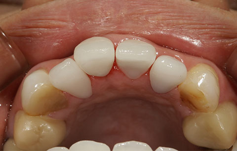
施術後
術後です。今回のようにホワイトニングを検討しているけれど差し歯を気にしておられる方は多いです。保険適応の差し歯はホワイトニングでは白くすることが難しいので、基本的には自費治療により治療する必要があります。
もしホワイトニングを検討されていて保険適応の差し歯を気にされている方はお気軽にご相談ください。最適な治療プランをご提案させていただきます。
治療内容
歯の詰め物や被せ物をセラミックなどの白い素材で治療します。
費用(自費)
- インレー:1 本あたり 55,000円~66,000円(税込)
- クラウン:1 本あたり 44,000円~143,000万円(税込)
- ラミネートべニア:1 本あたり 55,000円~(税込)
治療期間及び回数
症状によりますが、処置自体は通院1~2 回で完了します。
副作用・リスク
- 銀歯に比べて厚みがあるため、歯を削る量が若干多くなります。
- 歯ぎしりなどにより稀に破損する場合があります。


