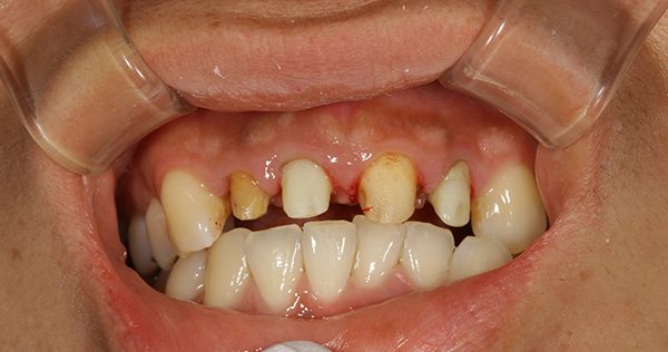
施術前
以前に保険適応の被せものをされておられましたが、歯の変色と歯ぐきの黒ずみが気になりはじめたのことで、審美歯科をご検討されておられました。患者さんからの聞き取りから、今回色が美しく強度もあるジルコニアでの施術をご提案し施術いたしました。
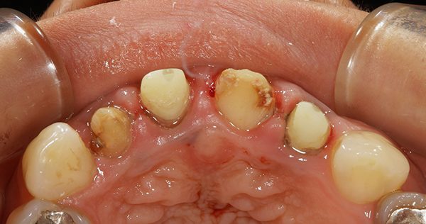
施術中
今まで使っていた被せものを外し、土台を形成していきます。
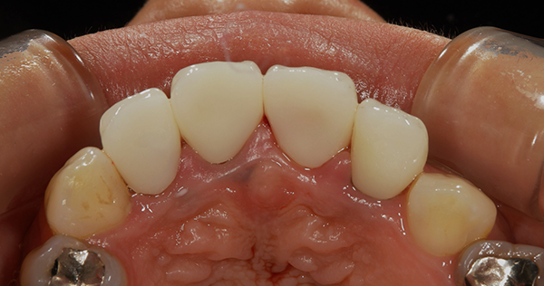
施術後
施術後です。どの歯が被せものか、そうでないかわからないくらいの仕上がりとなります。
患者さんも周りの歯との色見も違和感なくなじんでいるととても喜んでいただきました。
ジルコニアは白く強度があるのが特徴で1本あたりは12万円(税別)となっており、今回は4本施術しております。
このように歯の変色や歯ぐきと被せものの間の黒ずみが気になるという方は是非一度岡田歯科医院へご相談ください。
■治療内容
歯の詰め物や被せ物をセラミックなどの白い素材で治療します。
■費用(自費)
インレー:1 本あたり 55,000円~66,000円(税込)
クラウン:1 本あたり 44,000円~143,000万円(税込)
ラミネートべニア:1 本あたり 55,000円~(税込)
■治療期間及び回数
症状によりますが、処置自体は通院1~2 回で完了します。
■副作用・リスク
・銀歯に比べて厚みがあるため、歯を削る量が若干多くなります。
・歯ぎしりなどにより稀に破損する場合があります。










