施術例
左上中切歯(前歯から1番目)の変色が気になるのでジルコニアでやりかえを希望された症例
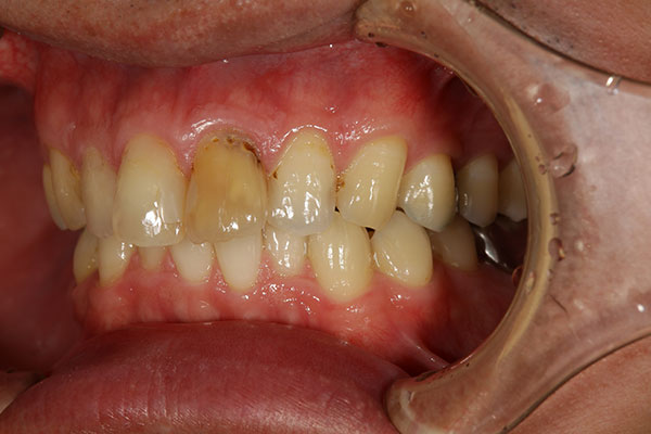
施術前
この患者さんは昔歯をぶつけて神経が死んでしまっていたのが原因で歯の変色がおこり大変気にされておられました。施術前の画像を見ても明らかに前歯の色見が違うのがわかると思います。
今回この前歯の変色をジルコニアにより審美施術いたしました。
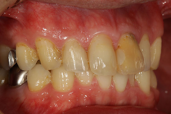
施術中
根管治療をした後ファイバーコアで支台歯築造し形成した状態です。
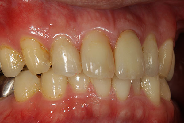
施術後
今回はうえ前歯で目立つという事ではじめはセラミックを希望されておられましたが、同時に強さも求めておられたためにジルコニアによる施術となりました。きれいさではセラミックという印象があるのですが、写真を見ていただいてわかるようにジルコニアでの施術でもとても自然に仕上がります。
治療内容
歯の詰め物や被せ物をセラミックなどの白い素材で治療します。
費用(自費)
- インレー:1 本あたり 55,000円~66,000円(税込)
- クラウン:1 本あたり 44,000円~143,000万円(税込)
- ラミネートべニア:1 本あたり 55,000円~(税込)
治療期間及び回数
症状によりますが、処置自体は通院1~2 回で完了します。
副作用・リスク
- 銀歯に比べて厚みがあるため、歯を削る量が若干多くなります。
- 歯ぎしりなどにより稀に破損する場合があります。


