施術例
前歯6本をオールセラミックにより審美治療により施術
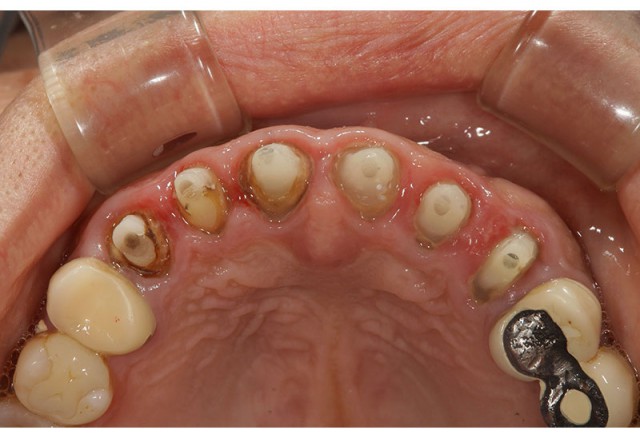
施術前
今回術前画像がないのですが、上の歯6本をオールセラミックで審美回復させていただきました。この患者さんは以前保険診療により被せ物をされていましたが、変色や黒ずみが気になりだしたとのことで今回の審美術による回復となりました。
画像のように新しいオールセラミックがしっかりとかぶさるように土台を形成していきます。
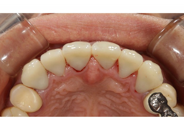
施術後
前歯6本を変更することで大変きれいな印象へと変わりました。オールセラミックは審美性に優れており、透明感やツヤがあり自然な色調で回復することができます。今回のような前歯には非常に相性が良い素材です。
また金属を使用しないので、金属アレルギーの方でも安心して使用いただけます。
オールセラミックは1本10万円からの施術となり今回は60万円での施術となりました。
前歯の歯並びや変色、一度保険で治療したところが気になっている方はこのようにオールセラミックによる回復もご検討してみてください。印象も大きく変わるのでお勧めです。
治療内容
歯の詰め物や被せ物をセラミックなどの白い素材で治療します。
費用(自費)
- インレー:1 本あたり 55,000円~66,000円(税込)
- クラウン:1 本あたり 44,000円~143,000万円(税込)
- ラミネートべニア:1 本あたり 55,000円~(税込)
治療期間及び回数
症状によりますが、処置自体は通院1~2 回で完了します。
副作用・リスク
- 銀歯に比べて厚みがあるため、歯を削る量が若干多くなります。
- 歯ぎしりなどにより稀に破損する場合があります。


