施術例
部分的に変色したかぶせものをオールセラミックに変更した術例
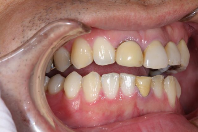
施術前
すでに上下数本保険治療によるかぶせもの治療をされていましたが、その中でも上前歯1本と下前歯1本の変色が非常に激しいとのご相談をうけ今回はオールセラミックによる施術をご提案させていただきました。
保険のかぶせものは唾液の成分を吸収しやすく、かぶせる場所によっても変色の度合いが違います。同じ時期に数本のかぶせものをされてもそれぞれ変色度合いは異なります。なので1本だけ違う色になってきたりということが起こります。
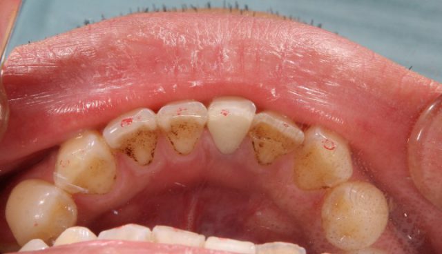
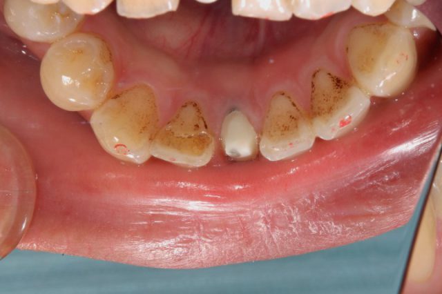
施術中
施術中にかぶせものの土台を形成しているところです。かぶせものが元の歯よりずいぶん変色していたことがわかります。
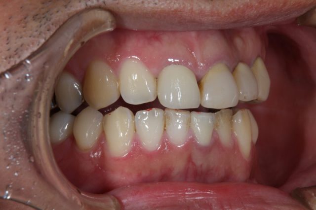
施術後
オールセラミックは現在の周りの歯との色を合わせやすく、とても自然に仕上がります。施術費用はセラミック1本で10万円で今回は上下2本で20万円です。セラミックなので1度施術してしまうと半永久的に変色するとはありませんし、歯茎下がりによる黒ズミの心配もありません。今回の患者様も非常に喜んでおられ次は回りの歯もしたいと感動されていました。
今回の施術のように1本からの施術も行うことができますのでかぶせものの変色や歯茎下がりによる黒ズミでお悩みの方はぜひお気軽にご相談くださいね。
治療内容
歯の詰め物や被せ物をセラミックなどの白い素材で治療します。
費用(自費)
- インレー:1 本あたり 55,000円~66,000円(税込)
- クラウン:1 本あたり 44,000円~143,000万円(税込)
- ラミネートべニア:1 本あたり 55,000円~(税込)
治療期間及び回数
症状によりますが、処置自体は通院1~2 回で完了します。
副作用・リスク
- 銀歯に比べて厚みがあるため、歯を削る量が若干多くなります。
- 歯ぎしりなどにより稀に破損する場合があります。


