施術前
施術前の画像を見るとそれほど変色している印象を受けることはありませんが、よく見ると前歯の虫歯治療した後の部分の詰め物の変色しています。今回の患者様はこの部分をとても気にされていました。
詰め物を削りやり直したとしてもまた数年後には同じことになるため今回は思い切ってオールセラミックによる施術を選択されました。
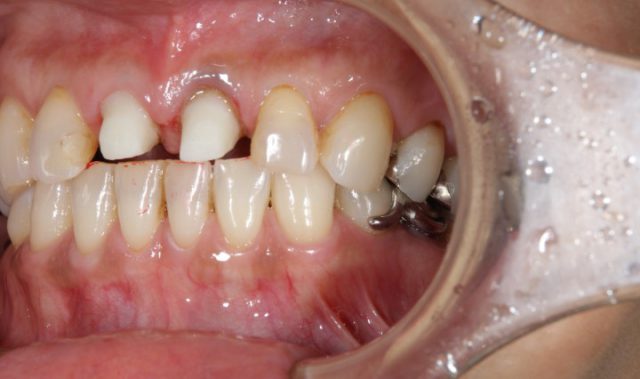
施術中
施術中です。オールセラミックをかぶせるための土台を形成しています。
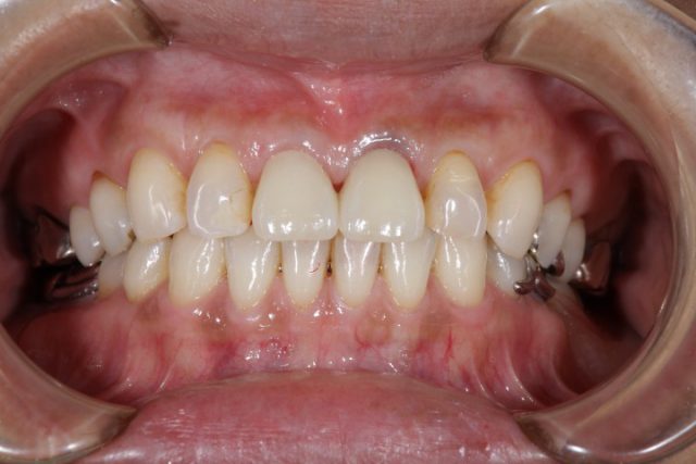
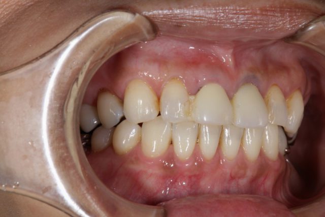
施術後
今回のように以前に施術した詰め物が変色したり、場合によっては欠損してしまったりの時に思い切ってオールセラミックによる施術を検討されてはいかがでしょうか。
歯のストレスというのは小さなことに思えますが、患者様のほとんどが施術後に大きなストレスだったと気づかれます。是非一度口の中にストレスがないかどうかセルフチェックしてみてくださいね!
■治療内容
歯の詰め物や被せ物をセラミックなどの白い素材で治療します。
■費用(自費)
インレー:1 本あたり 55,000円~66,000円(税込)
クラウン:1 本あたり 44,000円~143,000万円(税込)
ラミネートべニア:1 本あたり 55,000円~(税込)
■治療期間及び回数
症状によりますが、処置自体は通院1~2 回で完了します。
■副作用・リスク
・銀歯に比べて厚みがあるため、歯を削る量が若干多くなります。
・歯ぎしりなどにより稀に破損する場合があります。












