施術前
銀の被せ物が古くなり口をあけたときなどに銀歯が見えることも気になっておられました。この患者さまは奥歯の一本が欠損していて被せ物で補っておられました。
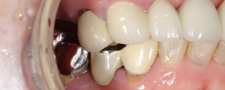
施術中
銀歯をはずし土台を再形成していきます。この患者さんのように歯が一本欠損している場合でも前後に土台があれば被せ物を橋のようにかぶせるブリッジという施術で欠損した歯を補うことが可能です。
施術後
欠損した歯をブリッジにより補いキラッと見えていた銀歯もオールセラミックにより目立たなくなりました。患者さまも「これならあまり目立たないね」とても喜んでおられました。今回のように古くなった被せ物や詰め物を変更することによって見た目や印象は大きく変えることができます。もし口腔内のことで気になることがあれば是非お気軽に相談してください。あなたにあった最適な治療方をご提案させて頂きます。
■治療内容
歯の詰め物や被せ物をセラミックなどの白い素材で治療します。
■費用(自費)
インレー:1 本あたり 55,000円~66,000円(税込)
クラウン:1 本あたり 44,000円~143,000万円(税込)
ラミネートべニア:1 本あたり 55,000円~(税込)
■治療期間及び回数
症状によりますが、処置自体は通院1~2 回で完了します。
■副作用・リスク
・銀歯に比べて厚みがあるため、歯を削る量が若干多くなります。
・歯ぎしりなどにより稀に破損する場合があります。






