施術例
金属の詰め物のむし歯を治療しオールセラミックにより白く回復した術例
施術前
奥歯2本の金歯がむし歯により痛むということで来院された患者さまですが、治療後は金属ではなく自然な白色で回復してほしいとのご要望があり今回むし歯治療後にオールセラミックによる回復術を行いました。
施術中
金属の詰め物をはずしむし歯を治療した後、オールセラミックの被せ物がしっかりと装着できる土台を形成していきます。
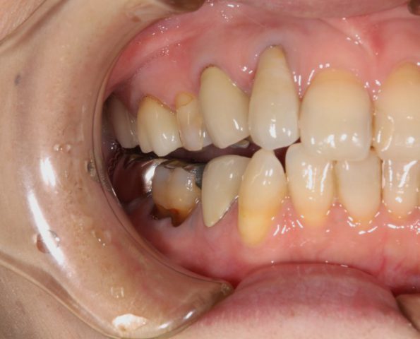
施術後
治療後はまわりの歯とも色を合わせたので虫歯であったことは当然分かりませんし、被せ物がしてあるという事もよくみてもわからないほど自然に仕上がります。術後仕上がりをみて「自分の歯みたい!」ととても喜んでおられました。
このように幼少期にむし歯治療をして金属の詰め物をされている方はとても多いです。その大勢の方はこの金属に違和感を感じながら生活をされているのが現状です。今回の術例のように金属がなくなり白くなることだけで口腔内のストレスやコンプレックスは大幅に減少します。このようなことでお悩みをお持ちの方は是非お気軽に当院へお問い合わせくださいね。
治療内容
歯の詰め物や被せ物をセラミックなどの白い素材で治療します。
費用(自費)
- インレー:1 本あたり 55,000円~66,000円(税込)
- クラウン:1 本あたり 44,000円~143,000万円(税込)
- ラミネートべニア:1 本あたり 55,000円~(税込)
治療期間及び回数
症状によりますが、処置自体は通院1~2 回で完了します。
副作用・リスク
- 銀歯に比べて厚みがあるため、歯を削る量が若干多くなります。
- 歯ぎしりなどにより稀に破損する場合があります。


