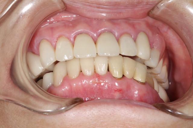
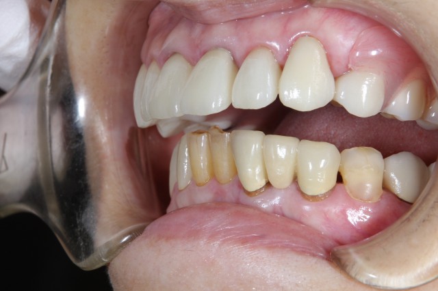
施術前
前回に前歯のかぶせ物と歯茎の黒ずみをセラミッククラウンによって審美回復した患者様が後に下の歯も同じく審美回復したいということでセラミッククラウンによる審美回復を行いました。
画像を見ていただくとわかりますが下の歯2本が変色してしまっています。審美回復した上の歯は非常に美しいですが、美しくなればなるほど審美回復していない部分が目出ってきてしまいます。この差をなくす審美回復の術例を紹介していきます。
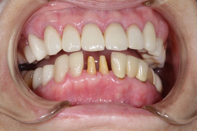
施術中
既存の歯を丁寧に削り、セラミッククラウンを被せるための土台を作ります。歯根がしっかりしていればこのように削ってかぶせることによりしっかりと強い歯を保つことができます。
施術後
今まで目だってしまっていた色の違いは解消され、とても自然な歯になりました。「上下とも今までのように黒ずみや歯の変色による違和感がないので、大きく口をあけることにまったく抵抗がなくなった」ととても喜んでおられました。
このように自分の歯の歯根がしっかりしていれば審美回復は可能になります。歯の色やかぶせ物と歯茎の黒ずみなどでお悩みの方はお気軽に岡田歯科医院までお問い合わせください。
■治療内容
歯の詰め物や被せ物をセラミックなどの白い素材で治療します。
■費用(自費)
インレー:1 本あたり 55,000円~66,000円(税込)
クラウン:1 本あたり 44,000円~143,000万円(税込)
ラミネートべニア:1 本あたり 55,000円~(税込)
■治療期間及び回数
症状によりますが、処置自体は通院1~2 回で完了します。
■副作用・リスク
・銀歯に比べて厚みがあるため、歯を削る量が若干多くなります。
・歯ぎしりなどにより稀に破損する場合があります。










