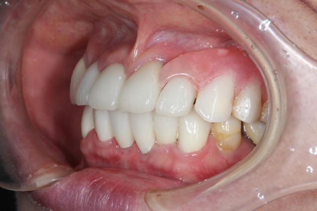
施術前
もともと上の前歯にはセラミッククラウンで審美されておられたのですが、付け根に黒ずみができて非常に気にされていました。さらにしたの前歯4本は歯茎が下がってしまっていたので、前歯のセラミッククラウンで審美回復した後に下のは4本も合わせてセラミッククラウンにて審美回復させていただきました。
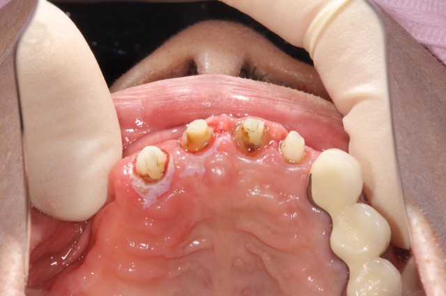
施術中
施術後のもっとも美しい仕上がりになるよう丁寧に土台を形成していきます。
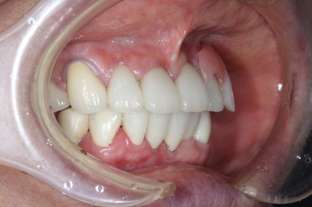
施術後
術前の写真と比べていただくと非常に美しく生まれ変わっているのが確認いただけると思います。今まで気になっていた黒ずみと歯茎の下がりが解消されて「これで自信を持って笑えるし、大きな口も開けられます!」ととても喜んでいただけました。
歯の黒ずみや歯茎の下がりは口を開けたときにやはり目だってしまいます。もし同じような状態で気になる方は是非お気軽にご相談ください。
■治療内容
歯の詰め物や被せ物をセラミックなどの白い素材で治療します。
■費用(自費)
インレー:1 本あたり 55,000円~66,000円(税込)
クラウン:1 本あたり 44,000円~143,000万円(税込)
ラミネートべニア:1 本あたり 55,000円~(税込)
■治療期間及び回数
症状によりますが、処置自体は通院1~2 回で完了します。
■副作用・リスク
・銀歯に比べて厚みがあるため、歯を削る量が若干多くなります。
・歯ぎしりなどにより稀に破損する場合があります。













