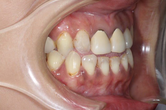
施術前
この患者様は保険適応のかぶせ物の色の変色、歯茎との境目の色、かぶせ物の裏シルバーをとても気にされており上前歯以外にも気にされている箇所はありましたが、予算の関係上まずは上前歯4本を審美回復されることになりました。
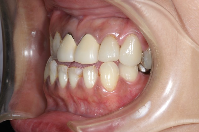
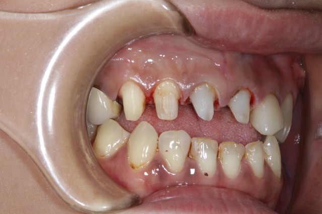
施術中
セラミックを被せるための土台を形成していきます。
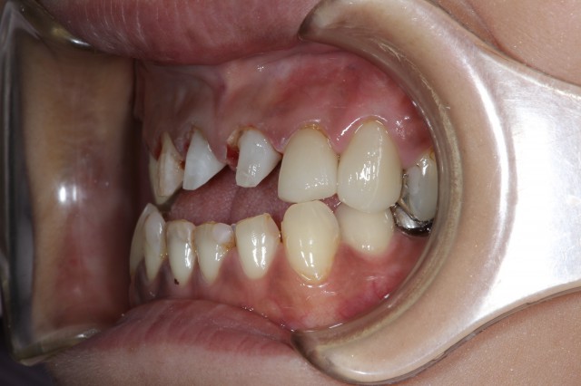
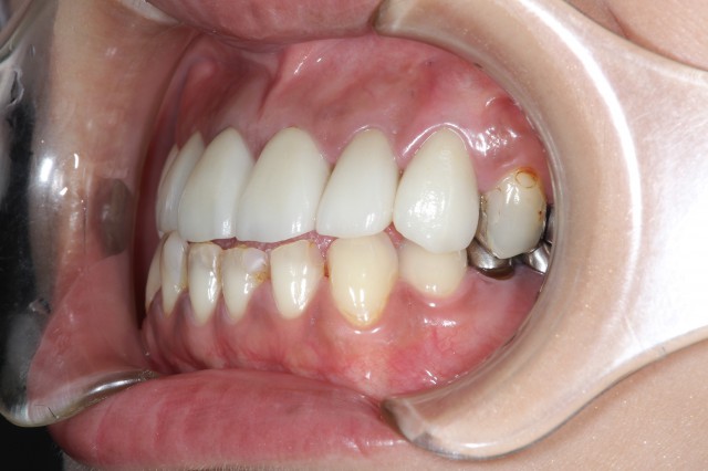
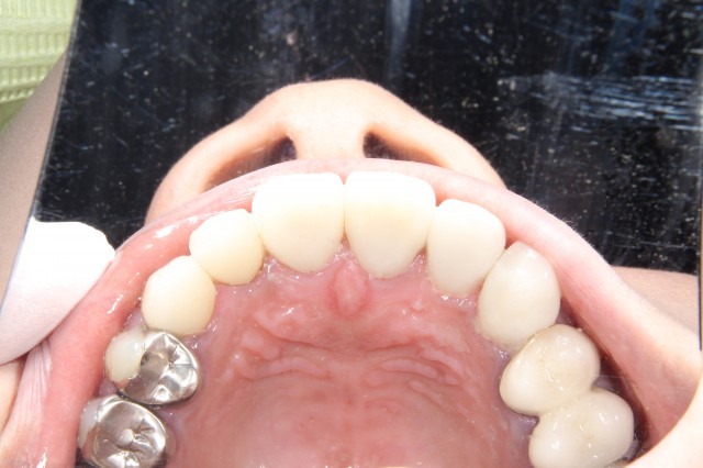
施術後
上前歯4本がこれだけきれいに生まれ変わりました。前からみた感じはもちろんですが、歯の裏側もとても自然できれいな仕上がりになります。非常にきれいになった上前歯を見てとても喜んでおられました。さらに下の歯も気になるとのことなので日を空けて下の歯も施術させていただきました。次回紹介いたします。
■治療内容
歯の詰め物や被せ物をセラミックなどの白い素材で治療します。
■費用(自費)
インレー:1 本あたり 55,000円~66,000円(税込)
クラウン:1 本あたり 44,000円~143,000万円(税込)
ラミネートべニア:1 本あたり 55,000円~(税込)
■治療期間及び回数
症状によりますが、処置自体は通院1~2 回で完了します。
■副作用・リスク
・銀歯に比べて厚みがあるため、歯を削る量が若干多くなります。
・歯ぎしりなどにより稀に破損する場合があります。













