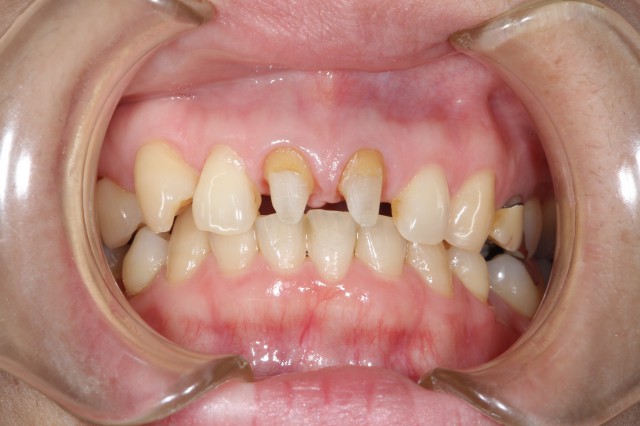
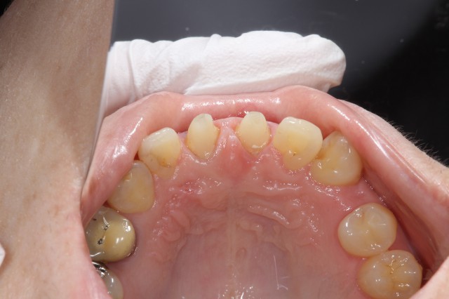
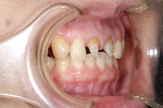
施術前
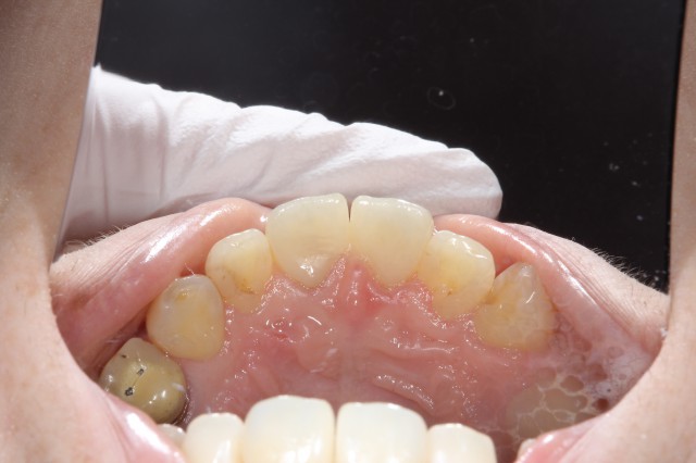
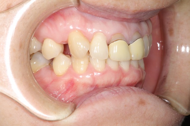
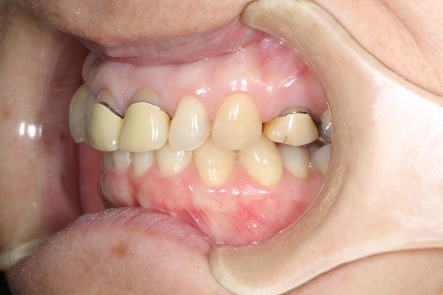
施術中
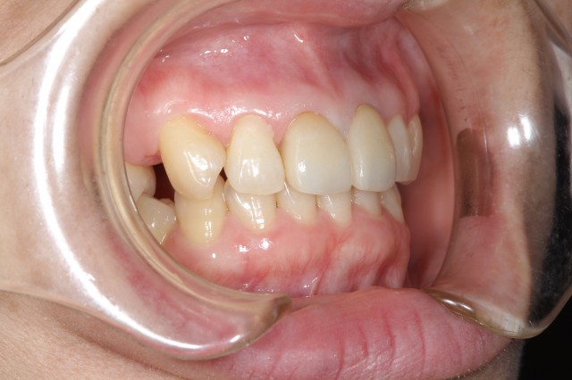
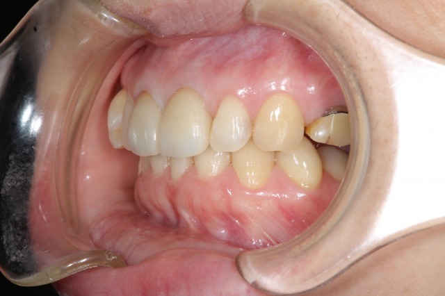
施術後
自然な色であわせることで周りの歯と比べても違和感はありません。術前の歯茎の露出もなくなり歯茎との境目も自然な仕上がりになります。毎日歯磨きの際に鏡に映った自分の歯をみて長年悩んでおられた患者様ですが、今回オールセラミックで審美回復した自分の前歯をみて「こんなに自然にきれいになるんだったらもっと早くしておけばよかった!」と素敵な笑顔で感動されていました。前歯は少しの違いで人の印象を大きく左右してしまいます。今回のように歯茎の露出や変色でお悩みの方は是非お気軽にご相談ください。
■治療内容
歯の詰め物や被せ物をセラミックなどの白い素材で治療します。
■費用(自費)
インレー:1 本あたり 55,000円~66,000円(税込)
クラウン:1 本あたり 44,000円~143,000万円(税込)
ラミネートべニア:1 本あたり 55,000円~(税込)
■治療期間及び回数
症状によりますが、処置自体は通院1~2 回で完了します。
■副作用・リスク
・銀歯に比べて厚みがあるため、歯を削る量が若干多くなります。
・歯ぎしりなどにより稀に破損する場合があります。













