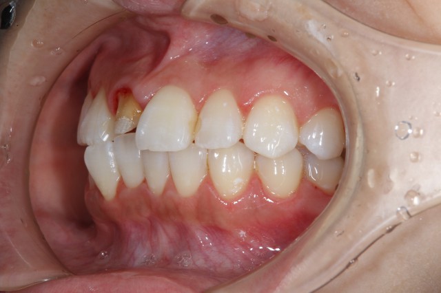
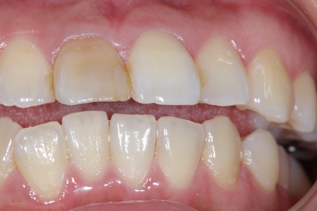
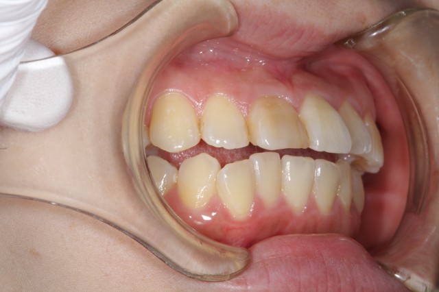
施術前
以前に神経を取ってしまった前歯が変色してしまい周りの歯と一本だけ色が違うことをとても気にされておられました。そこでオールセラミッククラウンによる審美回復を行い、周りの歯と色を合わせるために同時にホワイトニングを行いました。
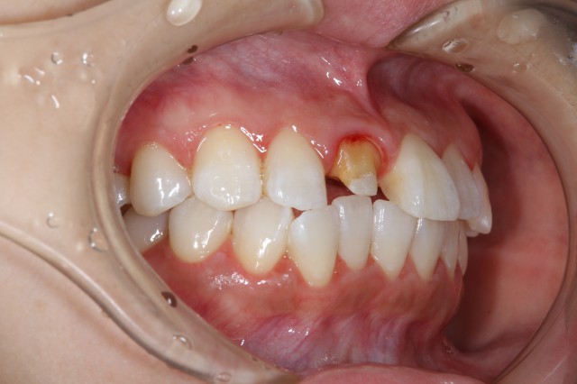
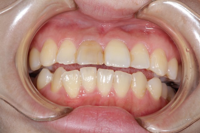
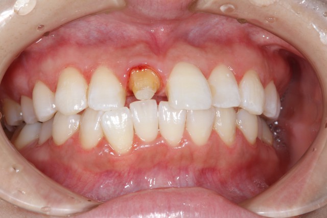
施術中
まず変色した前歯を削りかぶせ物をするために丁寧に削っていきます。そして、新しいかぶせ物をかぶせる土台を形成していきます。
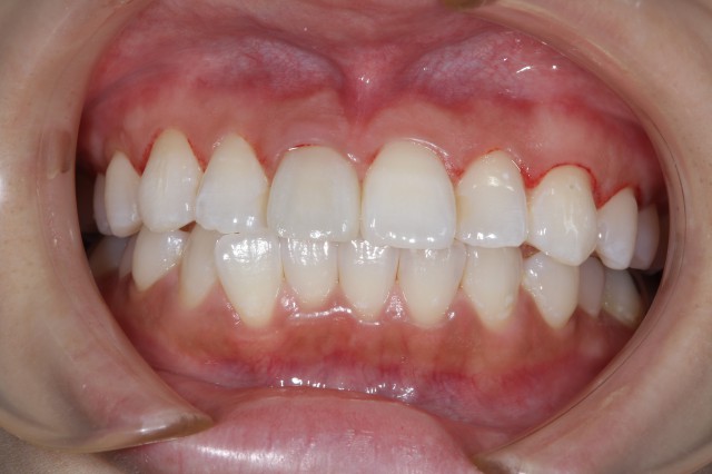
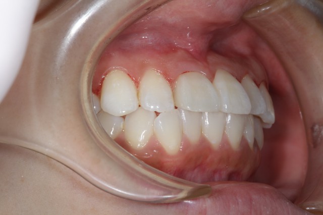
施術後
オールセラミックのクラウンが入ったところです。変色していた前歯はもちろんですが、周りの歯もホワイトニングしているので、非常にさわやかで清潔感のある歯に生まれ変わりました。患者様も自分の白く美しく生まれ変わった歯をみて、「これからは笑顔に自信がもてる!」と非常に喜んでおられました。歯の変色がきになる、もっと自信を持って笑顔になりたい!という方は是非ご相談ください。
■治療内容
歯の詰め物や被せ物をセラミックなどの白い素材で治療します。
■費用(自費)
インレー:1 本あたり 55,000円~66,000円(税込)
クラウン:1 本あたり 44,000円~143,000万円(税込)
ラミネートべニア:1 本あたり 55,000円~(税込)
■治療期間及び回数
症状によりますが、処置自体は通院1~2 回で完了します。
■副作用・リスク
・銀歯に比べて厚みがあるため、歯を削る量が若干多くなります。
・歯ぎしりなどにより稀に破損する場合があります。













