施術例
何度も外れるラミネートベニアをセラミッククラウンにやり変えた症例
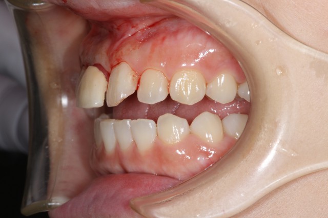
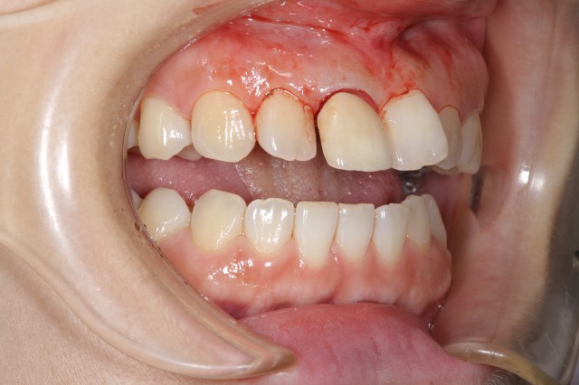
施術前
以前に付けられていたラミネートベニアというかぶせ物が何度もはずれ、まわりの歯と色もあっていなかったので、セラミッククラウンにやり変えさせていただきました。
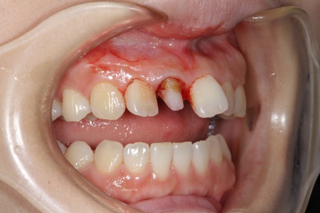
施術中
セラミッククラウンにやりかえるために現在の歯を形成したところです。4枚目の画像は今までつけていたラミネートベニアです。
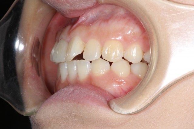
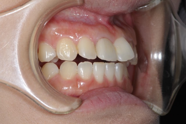
施術後
実際にセラミッククラウンが入ったところです。
ラミネートベニアは既存の歯の表面に貼り付けるためにはずれやすくなりますが、今回のセラミッククラウンにすると既存の歯を削ってはめ込むのではずれるということはなくなります。
まわりの歯の色とも違和感なく自然になじむのも特徴です。
治療内容
歯の詰め物や被せ物をセラミックなどの白い素材で治療します。
費用(自費)
- インレー:1 本あたり 55,000円~66,000円(税込)
- クラウン:1 本あたり 44,000円~143,000万円(税込)
- ラミネートべニア:1 本あたり 55,000円~(税込)
治療期間及び回数
症状によりますが、処置自体は通院1~2 回で完了します。
副作用・リスク
- 銀歯に比べて厚みがあるため、歯を削る量が若干多くなります。
- 歯ぎしりなどにより稀に破損する場合があります。


