施術例
変色した保険適応のかぶせ物を作り直した症例
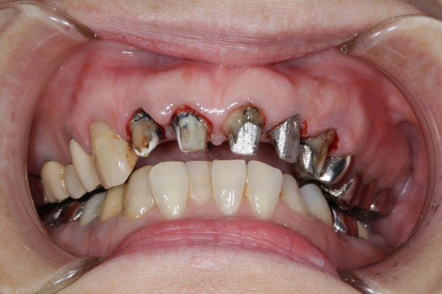
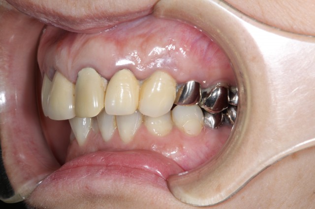
施術前
保険適応のかぶせ物が長年使用したことにより黄色く変色しています。自分では見慣れていても意外とその変色は目立つものです。今回少しでもこの変色が目立たなくさせるために保険適応のかぶせ物を作り直させていただきました。
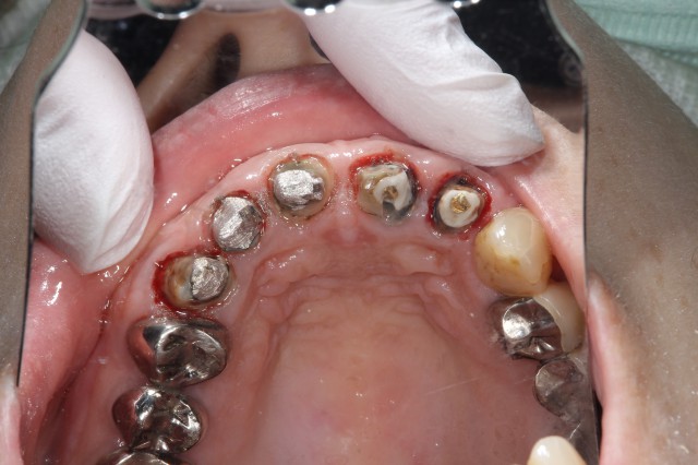
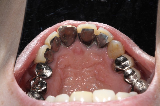
施術中
変色していた保険適応のかぶせ物を取り除いていき新しく作り直したかぶせ物を装着する準備をいたします。
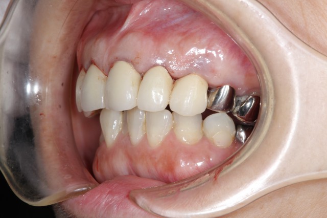
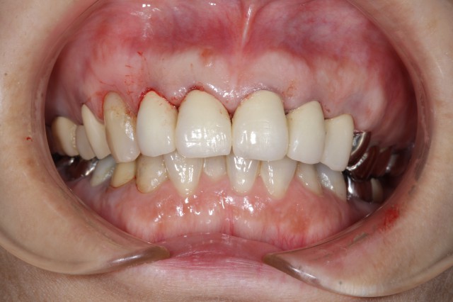
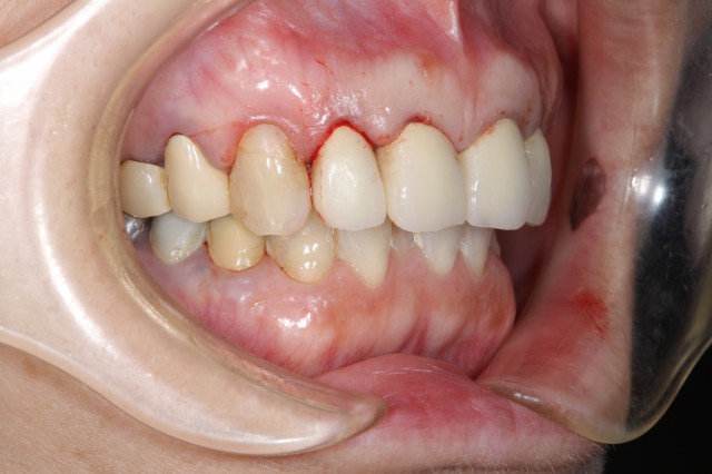
施術後
新しく作り直した保険適応のかぶせ物を装着したところです。施術前に比べて変色もなくまわりのかぶせ物とも違和感はありません。歯は食べるためにには必ず必要な部分です。健康な歯を保ち続けたいですし、白い歯は人に好印象を与えることができますし、笑顔も素敵になります。
治療内容
歯の詰め物や被せ物をセラミックなどの白い素材で治療します。
費用(自費)
- インレー:1 本あたり 55,000円~66,000円(税込)
- クラウン:1 本あたり 44,000円~143,000万円(税込)
- ラミネートべニア:1 本あたり 55,000円~(税込)
治療期間及び回数
症状によりますが、処置自体は通院1~2 回で完了します。
副作用・リスク
- 銀歯に比べて厚みがあるため、歯を削る量が若干多くなります。
- 歯ぎしりなどにより稀に破損する場合があります。


