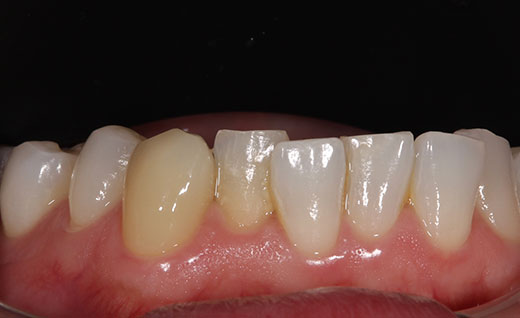
施術前
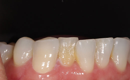
施術後
術後です。少し画像ではわかりにくいかもしれませんが、術前には他の歯に比べて黄ばみが目立ってしまっていましたが、術後犬歯は自然な白さになっていることが分かると思います。
ホワイトニングは自分の歯であればある程度白さを出すことはできますが、保険適応の被せものには対応できません。
ホワイトニングを行う事でそれらの部分が逆に目立ってしまうという事があります。
そのような場合は自費治療により周りの歯と色を合わせることをお勧めしております。
オールセラミックは1本10万円になります。
歯の色、ホワイトニングに関して気になることがあれば是非お気軽にご相談ください。
現在の口腔内の状態よりあなたに合わせた最適な治療プランを考えさせていただきます。
■治療内容
歯の詰め物や被せ物をセラミックなどの白い素材で治療します。
■費用(自費)
インレー:1 本あたり 55,000円~66,000円(税込)
クラウン:1 本あたり 44,000円~143,000万円(税込)
ラミネートべニア:1 本あたり 55,000円~(税込)
■治療期間及び回数
症状によりますが、処置自体は通院1~2 回で完了します。
■副作用・リスク
・銀歯に比べて厚みがあるため、歯を削る量が若干多くなります。
・歯ぎしりなどにより稀に破損する場合があります。







