施術例
メタルボンドからジルコニアに変更した術例
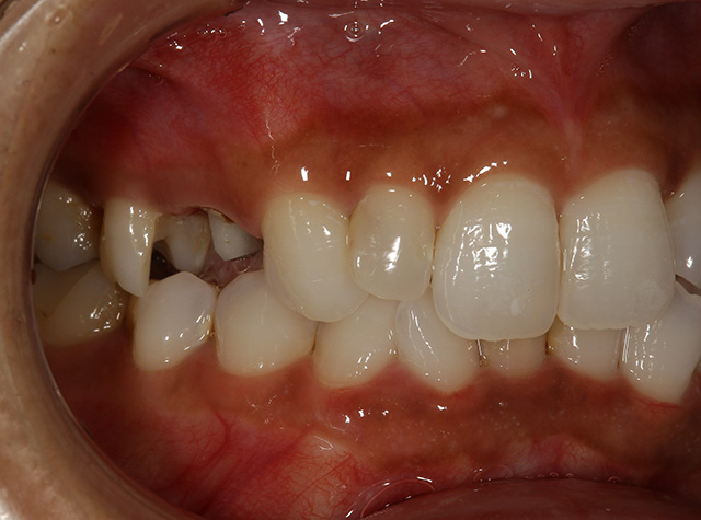
施術前
ホワイトニングを施術され、白くきれいなったのですが、もともと自費でメタルボンドによる被せ物をされていた部分の色味が違うことを気にされておられ今回メタルボンドからジルコニアの被せ物に変更する審美術を行いました。施術部は前から両側4本目5本目です。
施術中
ジルコニアの場合ジルコニアの場合ファイバーポストというものを埋め込見ます。土台から白いために口腔内を見てもあまり気になりません。
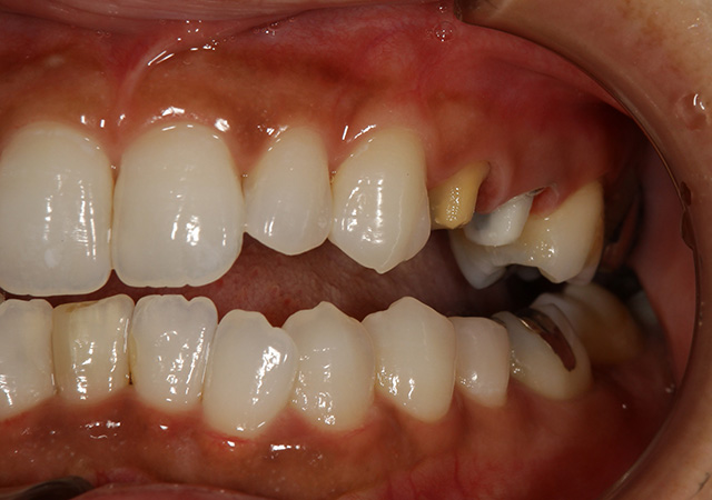
施術後
施術後です。ホワイトニングを行ったまわりの色ともあってとても自然な仕上がりです。口を開けても土台の色が見えることもないととても満足されておられました。今回の施術のようにホワイトニングをすることにより被せ物の色が気になってしまったという方は少なくありません。もしこのような状態でお悩みの方がおられればお気軽に岡田歯科医院へご相談ください。
治療内容
歯の詰め物や被せ物をセラミックなどの白い素材で治療します。
費用(自費)
- インレー:1 本あたり 55,000円~66,000円(税込)
- クラウン:1 本あたり 44,000円~143,000万円(税込)
- ラミネートべニア:1 本あたり 55,000円~(税込)
治療期間及び回数
症状によりますが、処置自体は通院1~2 回で完了します。
副作用・リスク
- 銀歯に比べて厚みがあるため、歯を削る量が若干多くなります。
- 歯ぎしりなどにより稀に破損する場合があります。


