施術例
前歯2本をメタルボンドによる審美術した例
施術前
もともと前歯2本をメタルボンドを施術されておられましたが、ずいぶん時が過ぎたこともあり黒ずみが目立つようになってきたのをとても気にされておられました。今回この黒ずみを解消したいとのご要望に同じくメタルボンドでの審美術を行いました。
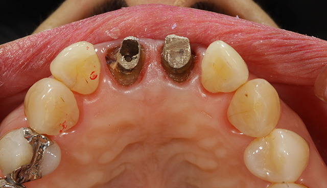
施術中
古いものを外したところです。この金属部分に新しいものを取り付けていきます。
施術後
施術後です。黒ずみもなくなり、周りの歯の色とも違和感なくあっているのでとても自然です。今回のように以前に行った審美術が古くなり気になるところが出てきたという方も多くおられます。今回は同じ材質での審美術ですが、ご相談の中でその方にあった一番の方法をご提案させていただきますので是非ご相談ください。
治療内容
歯の詰め物や被せ物をセラミックなどの白い素材で治療します。
費用(自費)
- インレー:1 本あたり 55,000円~66,000円(税込)
- クラウン:1 本あたり 44,000円~143,000万円(税込)
- ラミネートべニア:1 本あたり 55,000円~(税込)
治療期間及び回数
症状によりますが、処置自体は通院1~2 回で完了します。
副作用・リスク
- 銀歯に比べて厚みがあるため、歯を削る量が若干多くなります。
- 歯ぎしりなどにより稀に破損する場合があります。


