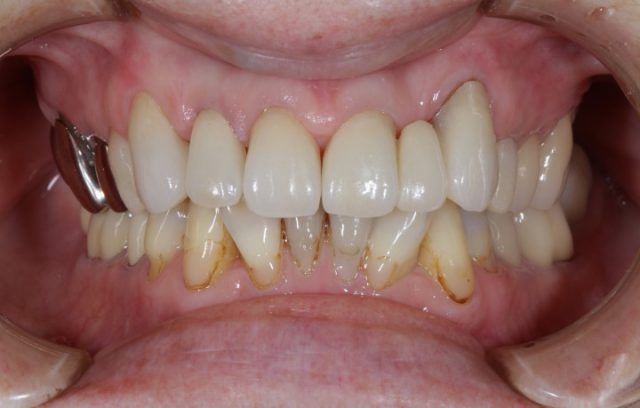
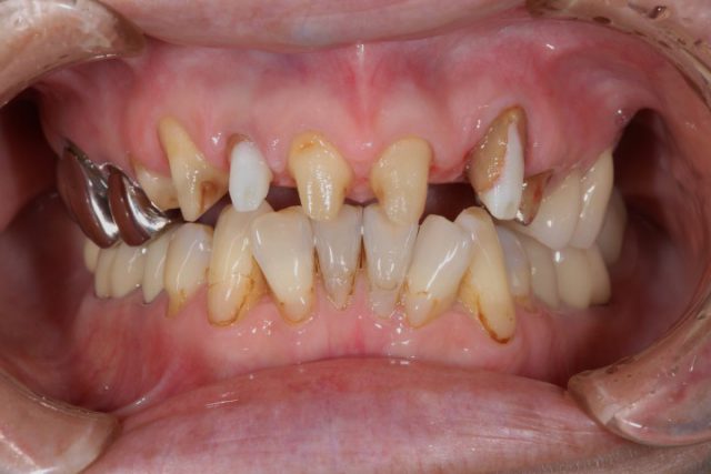
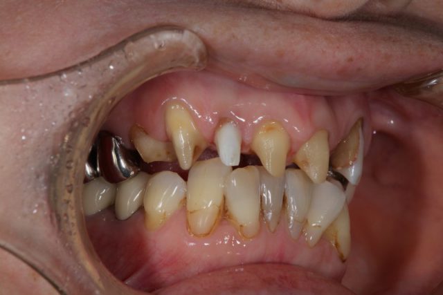
施術前
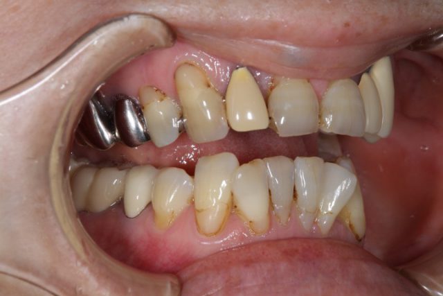
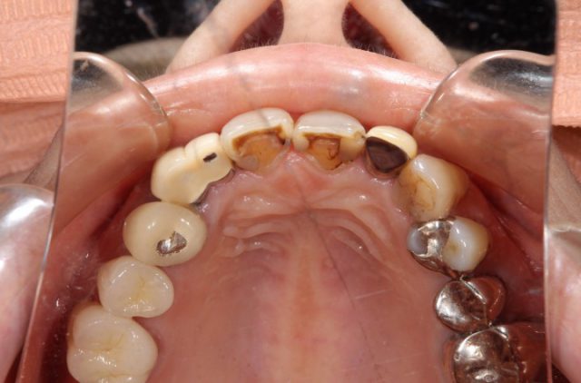
施術中
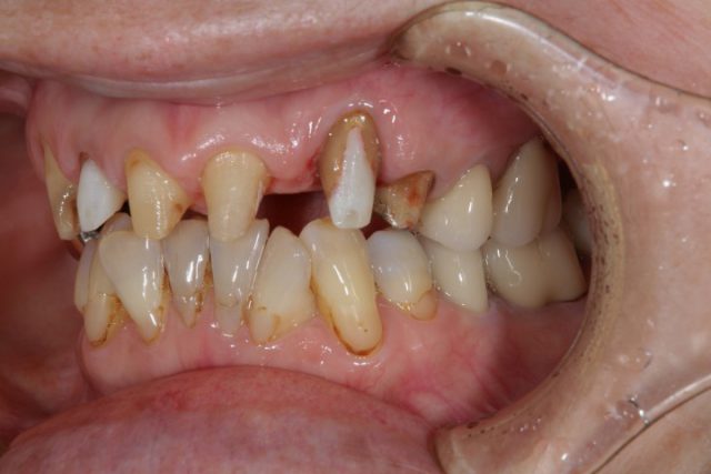
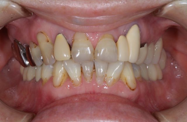
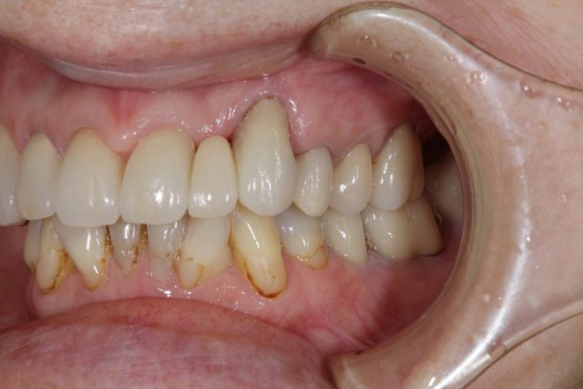
施術後
施術後鏡を手に取られ確認するために口を開かれた患者様は何度も鏡の角度を変えながら生まれ変わった自分の歯の色を確認されていました。口を開けた時に歯の見える範囲や場所は人によってそれぞれ違います。ニコッと笑顔を見せられた時に見える歯だけでもオールセラミックにすることで今まで気にしながら口を開けていたストレスから解放されます。
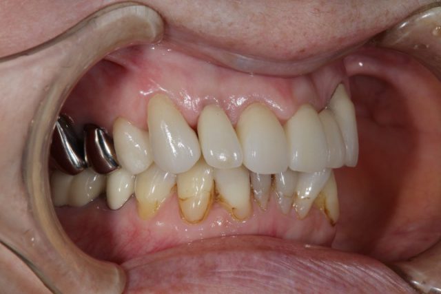
このように口を開けた時に見える範囲だけの施術も可能です。もし同じように歯の変色や欠損でお悩みの方はぜひお気軽にご相談くださいね。
■治療内容
歯の詰め物や被せ物をセラミックなどの白い素材で治療します。
■費用(自費)
インレー:1 本あたり 55,000円~66,000円(税込)
クラウン:1 本あたり 44,000円~143,000万円(税込)
ラミネートべニア:1 本あたり 55,000円~(税込)
■治療期間及び回数
症状によりますが、処置自体は通院1~2 回で完了します。
■副作用・リスク
・銀歯に比べて厚みがあるため、歯を削る量が若干多くなります。
・歯ぎしりなどにより稀に破損する場合があります。













