施術例
変色したかぶせを保険で作り直した症例
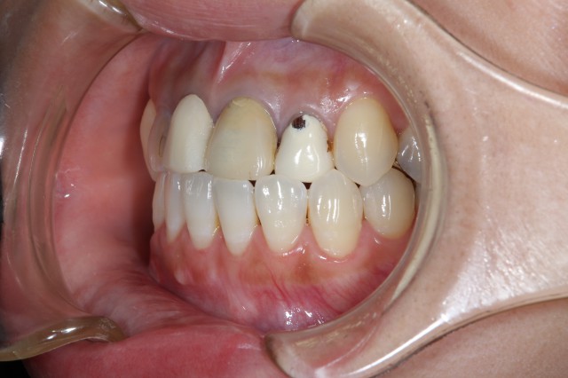
施術前
変色してしまっているかぶせ物です。黄色に変色してしまい隣の歯と比べて色の違いがはっきりとわかり気になります。
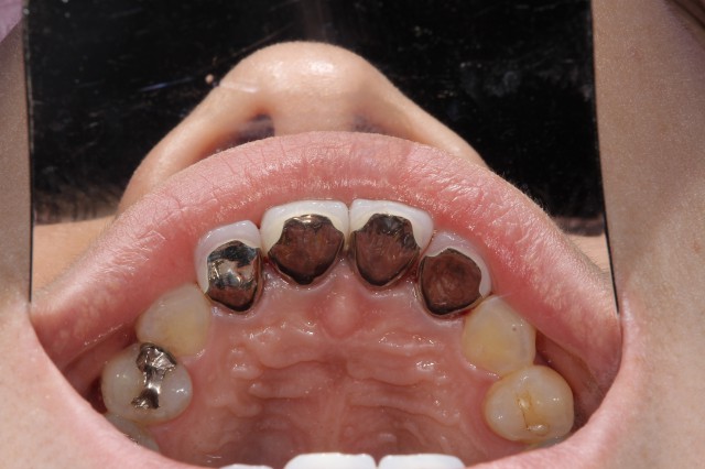
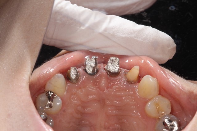
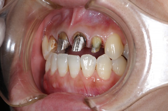
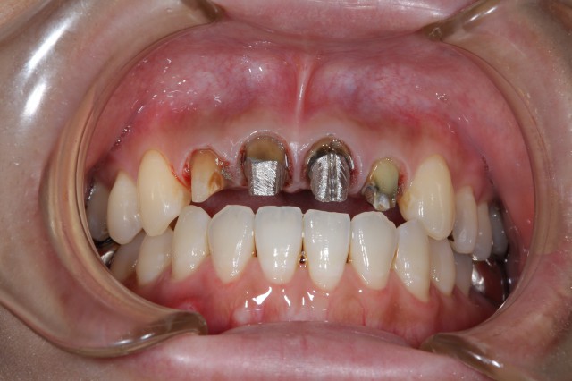
施術中
かぶせ物をはずして削ったところです。
施術後
新しく作ったかぶせ物をつけたところです。隣の歯とも色が合い白く美しく生まれ変わりお顔の印象や笑顔が素敵になられました。最近かぶせ物の変色が気になってきたと感じておられる方は一度ご相談ください。
治療内容
歯の詰め物や被せ物をセラミックなどの白い素材で治療します。
費用(自費)
- インレー:1 本あたり 55,000円~66,000円(税込)
- クラウン:1 本あたり 44,000円~143,000万円(税込)
- ラミネートべニア:1 本あたり 55,000円~(税込)
治療期間及び回数
症状によりますが、処置自体は通院1~2 回で完了します。
副作用・リスク
- 銀歯に比べて厚みがあるため、歯を削る量が若干多くなります。
- 歯ぎしりなどにより稀に破損する場合があります。


