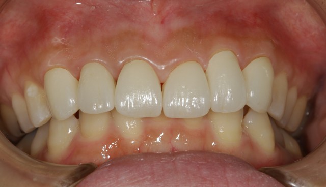
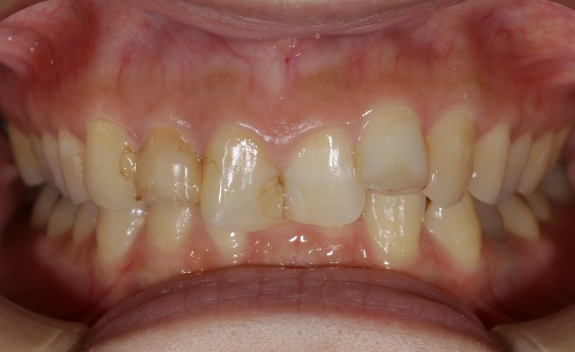
上前歯6本をジルコニアへ審美術し全体をホワイトニング 施術前 施術後 施術例詳細へ 素材別、部位別審美施術例 素材別 オールセラミック クラウン ジルコニア ブリッジ ホワイトニング メタルフリー メタルボンド 保険適応 部位別 すきっ歯 上前歯 上奥歯 下前歯 下奥歯 中切歯 側切歯 大臼歯 小臼歯 犬歯