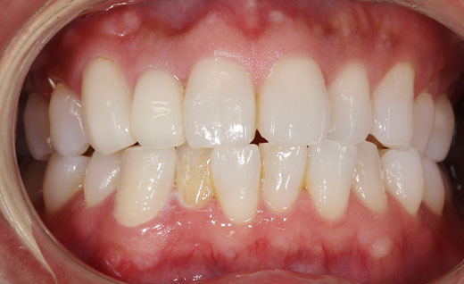
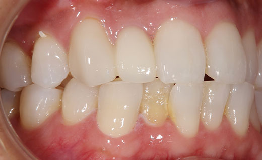
神経が死んでしまって変色した前歯をセラミックに変更した術例 施術前 施術後 施術例詳細へ プラスチックの詰め物の変色が気になり、セラミッククラウンにした症例 施術前 施術後 施術例詳細へ 歯の変色・黒ずみをオールセラミッククラウンでやりかえた症例 施術前 施術後 施術例詳細へ 前歯6本をオールセラミックにより審美治療により施術 施術前 施術後 施術例詳細へ セラミックにより前歯の色を合わせた審美施術 施術前 施術後 施術例詳細へ 上前歯のすきっ歯を自費治療にてキレイに! 施術前 施術後 施術例詳細へ 上前歯2本(右1.2)オールセラミックの審美術例 施術前 施術後 施術例詳細へ オールセラミックによる歯と歯茎の黒ずみ解消のための治療 施術前 施術後 施術例詳細へ 口腔内から金属を取り除くメタルフリー治療 施術前 施術後 施術例詳細へ 歯の神経が死んで黒くなった歯をオールセラミックに変更した例 施術前 施術後 施術例詳細へ 投稿ナビゲーション 過去の投稿新しい投稿 素材別、部位別審美施術例 素材別 オールセラミック クラウン ジルコニア ブリッジ ホワイトニング メタルフリー メタルボンド 保険適応 部位別 すきっ歯 上前歯 上奥歯 下前歯 下奥歯 中切歯 側切歯 大臼歯 小臼歯 犬歯 当サイトでよく読まれています! 2月休診のお知らせ患者さんからの差し入れ❤️GW休診のお知らせお中元サファリパーク🦁ホワイトエッセンスコンテスト10月休診のお知らせ妊娠中の口腔ケア歯周病治療と一緒に禁煙🚭を!歓迎会 岡田歯科医院TOP クリニック紹介 ドクター&スタッフ紹介 初めてご来院の方へ お急ぎの患者様へ 診療科目 健康通信 スタッフブログ お問い合わせ
プラスチックの詰め物の変色が気になり、セラミッククラウンにした症例 施術前 施術後 施術例詳細へ 歯の変色・黒ずみをオールセラミッククラウンでやりかえた症例 施術前 施術後 施術例詳細へ 前歯6本をオールセラミックにより審美治療により施術 施術前 施術後 施術例詳細へ セラミックにより前歯の色を合わせた審美施術 施術前 施術後 施術例詳細へ 上前歯のすきっ歯を自費治療にてキレイに! 施術前 施術後 施術例詳細へ 上前歯2本(右1.2)オールセラミックの審美術例 施術前 施術後 施術例詳細へ オールセラミックによる歯と歯茎の黒ずみ解消のための治療 施術前 施術後 施術例詳細へ 口腔内から金属を取り除くメタルフリー治療 施術前 施術後 施術例詳細へ 歯の神経が死んで黒くなった歯をオールセラミックに変更した例 施術前 施術後 施術例詳細へ 投稿ナビゲーション 過去の投稿新しい投稿 素材別、部位別審美施術例 素材別 オールセラミック クラウン ジルコニア ブリッジ ホワイトニング メタルフリー メタルボンド 保険適応 部位別 すきっ歯 上前歯 上奥歯 下前歯 下奥歯 中切歯 側切歯 大臼歯 小臼歯 犬歯 当サイトでよく読まれています! 2月休診のお知らせ患者さんからの差し入れ❤️GW休診のお知らせお中元サファリパーク🦁ホワイトエッセンスコンテスト10月休診のお知らせ妊娠中の口腔ケア歯周病治療と一緒に禁煙🚭を!歓迎会 岡田歯科医院TOP クリニック紹介 ドクター&スタッフ紹介 初めてご来院の方へ お急ぎの患者様へ 診療科目 健康通信 スタッフブログ お問い合わせ
歯の変色・黒ずみをオールセラミッククラウンでやりかえた症例 施術前 施術後 施術例詳細へ 前歯6本をオールセラミックにより審美治療により施術 施術前 施術後 施術例詳細へ セラミックにより前歯の色を合わせた審美施術 施術前 施術後 施術例詳細へ 上前歯のすきっ歯を自費治療にてキレイに! 施術前 施術後 施術例詳細へ 上前歯2本(右1.2)オールセラミックの審美術例 施術前 施術後 施術例詳細へ オールセラミックによる歯と歯茎の黒ずみ解消のための治療 施術前 施術後 施術例詳細へ 口腔内から金属を取り除くメタルフリー治療 施術前 施術後 施術例詳細へ 歯の神経が死んで黒くなった歯をオールセラミックに変更した例 施術前 施術後 施術例詳細へ 投稿ナビゲーション 過去の投稿新しい投稿 素材別、部位別審美施術例 素材別 オールセラミック クラウン ジルコニア ブリッジ ホワイトニング メタルフリー メタルボンド 保険適応 部位別 すきっ歯 上前歯 上奥歯 下前歯 下奥歯 中切歯 側切歯 大臼歯 小臼歯 犬歯 当サイトでよく読まれています! 2月休診のお知らせ患者さんからの差し入れ❤️GW休診のお知らせお中元サファリパーク🦁ホワイトエッセンスコンテスト10月休診のお知らせ妊娠中の口腔ケア歯周病治療と一緒に禁煙🚭を!歓迎会 岡田歯科医院TOP クリニック紹介 ドクター&スタッフ紹介 初めてご来院の方へ お急ぎの患者様へ 診療科目 健康通信 スタッフブログ お問い合わせ
前歯6本をオールセラミックにより審美治療により施術 施術前 施術後 施術例詳細へ セラミックにより前歯の色を合わせた審美施術 施術前 施術後 施術例詳細へ 上前歯のすきっ歯を自費治療にてキレイに! 施術前 施術後 施術例詳細へ 上前歯2本(右1.2)オールセラミックの審美術例 施術前 施術後 施術例詳細へ オールセラミックによる歯と歯茎の黒ずみ解消のための治療 施術前 施術後 施術例詳細へ 口腔内から金属を取り除くメタルフリー治療 施術前 施術後 施術例詳細へ 歯の神経が死んで黒くなった歯をオールセラミックに変更した例 施術前 施術後 施術例詳細へ 投稿ナビゲーション 過去の投稿新しい投稿 素材別、部位別審美施術例 素材別 オールセラミック クラウン ジルコニア ブリッジ ホワイトニング メタルフリー メタルボンド 保険適応 部位別 すきっ歯 上前歯 上奥歯 下前歯 下奥歯 中切歯 側切歯 大臼歯 小臼歯 犬歯 当サイトでよく読まれています! 2月休診のお知らせ患者さんからの差し入れ❤️GW休診のお知らせお中元サファリパーク🦁ホワイトエッセンスコンテスト10月休診のお知らせ妊娠中の口腔ケア歯周病治療と一緒に禁煙🚭を!歓迎会 岡田歯科医院TOP クリニック紹介 ドクター&スタッフ紹介 初めてご来院の方へ お急ぎの患者様へ 診療科目 健康通信 スタッフブログ お問い合わせ
セラミックにより前歯の色を合わせた審美施術 施術前 施術後 施術例詳細へ 上前歯のすきっ歯を自費治療にてキレイに! 施術前 施術後 施術例詳細へ 上前歯2本(右1.2)オールセラミックの審美術例 施術前 施術後 施術例詳細へ オールセラミックによる歯と歯茎の黒ずみ解消のための治療 施術前 施術後 施術例詳細へ 口腔内から金属を取り除くメタルフリー治療 施術前 施術後 施術例詳細へ 歯の神経が死んで黒くなった歯をオールセラミックに変更した例 施術前 施術後 施術例詳細へ 投稿ナビゲーション 過去の投稿新しい投稿 素材別、部位別審美施術例 素材別 オールセラミック クラウン ジルコニア ブリッジ ホワイトニング メタルフリー メタルボンド 保険適応 部位別 すきっ歯 上前歯 上奥歯 下前歯 下奥歯 中切歯 側切歯 大臼歯 小臼歯 犬歯 当サイトでよく読まれています! 2月休診のお知らせ患者さんからの差し入れ❤️GW休診のお知らせお中元サファリパーク🦁ホワイトエッセンスコンテスト10月休診のお知らせ妊娠中の口腔ケア歯周病治療と一緒に禁煙🚭を!歓迎会 岡田歯科医院TOP クリニック紹介 ドクター&スタッフ紹介 初めてご来院の方へ お急ぎの患者様へ 診療科目 健康通信 スタッフブログ お問い合わせ
上前歯のすきっ歯を自費治療にてキレイに! 施術前 施術後 施術例詳細へ 上前歯2本(右1.2)オールセラミックの審美術例 施術前 施術後 施術例詳細へ オールセラミックによる歯と歯茎の黒ずみ解消のための治療 施術前 施術後 施術例詳細へ 口腔内から金属を取り除くメタルフリー治療 施術前 施術後 施術例詳細へ 歯の神経が死んで黒くなった歯をオールセラミックに変更した例 施術前 施術後 施術例詳細へ 投稿ナビゲーション 過去の投稿新しい投稿 素材別、部位別審美施術例 素材別 オールセラミック クラウン ジルコニア ブリッジ ホワイトニング メタルフリー メタルボンド 保険適応 部位別 すきっ歯 上前歯 上奥歯 下前歯 下奥歯 中切歯 側切歯 大臼歯 小臼歯 犬歯 当サイトでよく読まれています! 2月休診のお知らせ患者さんからの差し入れ❤️GW休診のお知らせお中元サファリパーク🦁ホワイトエッセンスコンテスト10月休診のお知らせ妊娠中の口腔ケア歯周病治療と一緒に禁煙🚭を!歓迎会 岡田歯科医院TOP クリニック紹介 ドクター&スタッフ紹介 初めてご来院の方へ お急ぎの患者様へ 診療科目 健康通信 スタッフブログ お問い合わせ
上前歯2本(右1.2)オールセラミックの審美術例 施術前 施術後 施術例詳細へ オールセラミックによる歯と歯茎の黒ずみ解消のための治療 施術前 施術後 施術例詳細へ 口腔内から金属を取り除くメタルフリー治療 施術前 施術後 施術例詳細へ 歯の神経が死んで黒くなった歯をオールセラミックに変更した例 施術前 施術後 施術例詳細へ 投稿ナビゲーション 過去の投稿新しい投稿 素材別、部位別審美施術例 素材別 オールセラミック クラウン ジルコニア ブリッジ ホワイトニング メタルフリー メタルボンド 保険適応 部位別 すきっ歯 上前歯 上奥歯 下前歯 下奥歯 中切歯 側切歯 大臼歯 小臼歯 犬歯 当サイトでよく読まれています! 2月休診のお知らせ患者さんからの差し入れ❤️GW休診のお知らせお中元サファリパーク🦁ホワイトエッセンスコンテスト10月休診のお知らせ妊娠中の口腔ケア歯周病治療と一緒に禁煙🚭を!歓迎会 岡田歯科医院TOP クリニック紹介 ドクター&スタッフ紹介 初めてご来院の方へ お急ぎの患者様へ 診療科目 健康通信 スタッフブログ お問い合わせ
オールセラミックによる歯と歯茎の黒ずみ解消のための治療 施術前 施術後 施術例詳細へ 口腔内から金属を取り除くメタルフリー治療 施術前 施術後 施術例詳細へ 歯の神経が死んで黒くなった歯をオールセラミックに変更した例 施術前 施術後 施術例詳細へ 投稿ナビゲーション 過去の投稿新しい投稿 素材別、部位別審美施術例 素材別 オールセラミック クラウン ジルコニア ブリッジ ホワイトニング メタルフリー メタルボンド 保険適応 部位別 すきっ歯 上前歯 上奥歯 下前歯 下奥歯 中切歯 側切歯 大臼歯 小臼歯 犬歯 当サイトでよく読まれています! 2月休診のお知らせ患者さんからの差し入れ❤️GW休診のお知らせお中元サファリパーク🦁ホワイトエッセンスコンテスト10月休診のお知らせ妊娠中の口腔ケア歯周病治療と一緒に禁煙🚭を!歓迎会 岡田歯科医院TOP クリニック紹介 ドクター&スタッフ紹介 初めてご来院の方へ お急ぎの患者様へ 診療科目 健康通信 スタッフブログ お問い合わせ
口腔内から金属を取り除くメタルフリー治療 施術前 施術後 施術例詳細へ 歯の神経が死んで黒くなった歯をオールセラミックに変更した例 施術前 施術後 施術例詳細へ 投稿ナビゲーション 過去の投稿新しい投稿 素材別、部位別審美施術例 素材別 オールセラミック クラウン ジルコニア ブリッジ ホワイトニング メタルフリー メタルボンド 保険適応 部位別 すきっ歯 上前歯 上奥歯 下前歯 下奥歯 中切歯 側切歯 大臼歯 小臼歯 犬歯
歯の神経が死んで黒くなった歯をオールセラミックに変更した例 施術前 施術後 施術例詳細へ 投稿ナビゲーション 過去の投稿新しい投稿 素材別、部位別審美施術例 素材別 オールセラミック クラウン ジルコニア ブリッジ ホワイトニング メタルフリー メタルボンド 保険適応 部位別 すきっ歯 上前歯 上奥歯 下前歯 下奥歯 中切歯 側切歯 大臼歯 小臼歯 犬歯