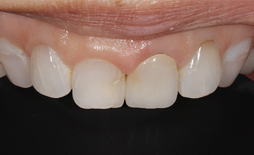
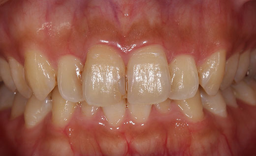
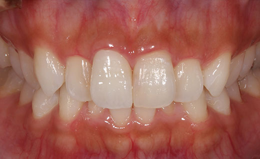
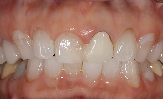
保険適応の被せもので治療した前歯の黒ずみが気になりオールセラミックに変更 施術前 施術後 施術例詳細へ 歯の根幹治療をした後、死んでしまった神経の歯をオールセラミックに変更した術例 施術前 施術後 施術例詳細へ 前歯保険適応の被せものの変色が気になり、オールセラミックにした症例 施術前 施術後 施術例詳細へ ホワイトニング後に神経のない変色した歯をオールセラミックに変更した術例 施術前 施術後 施術例詳細へ 神経をとった前歯が変色してきたのでオールセラミックに変更した術例 施術前 施術後 施術例詳細へ ホワイトニング後に変色が目立ってしまった保険適応の被せものをオールセラミックに変更 施術前 施術後 施術例詳細へ 古くなり汚れが付着したオールセラミックの被せものを新しくした術例 施術前 施術後 施術例詳細へ 古くなり変色してしまったオールセラミックの前歯を新しくした術例 施術前 施術後 施術例詳細へ ホワイトニング後に保険の被せものの色が気になりオールセラミックに変更 施術前 施術後 施術例詳細へ 自費セラミックの前歯にひびが入ったので新しくやり変えた症例 施術前 施術後 施術例詳細へ 投稿ナビゲーション 過去の投稿 素材別、部位別審美施術例 素材別 オールセラミック クラウン ジルコニア ブリッジ ホワイトニング メタルフリー メタルボンド 保険適応 部位別 すきっ歯 上前歯 上奥歯 下前歯 下奥歯 中切歯 側切歯 大臼歯 小臼歯 犬歯 当サイトでよく読まれています! 妊娠中の虫歯治療年末年始の休診についてサファリパーク🦁歯周病治療と一緒に禁煙🚭を!GW休診のお知らせUSJ クールジャパン!液体歯磨きと洗口液の違いWhiteday✨お口ポカンの影響御歳暮 岡田歯科医院TOP クリニック紹介 ドクター&スタッフ紹介 初めてご来院の方へ お急ぎの患者様へ 診療科目 健康通信 スタッフブログ お問い合わせ
歯の根幹治療をした後、死んでしまった神経の歯をオールセラミックに変更した術例 施術前 施術後 施術例詳細へ 前歯保険適応の被せものの変色が気になり、オールセラミックにした症例 施術前 施術後 施術例詳細へ ホワイトニング後に神経のない変色した歯をオールセラミックに変更した術例 施術前 施術後 施術例詳細へ 神経をとった前歯が変色してきたのでオールセラミックに変更した術例 施術前 施術後 施術例詳細へ ホワイトニング後に変色が目立ってしまった保険適応の被せものをオールセラミックに変更 施術前 施術後 施術例詳細へ 古くなり汚れが付着したオールセラミックの被せものを新しくした術例 施術前 施術後 施術例詳細へ 古くなり変色してしまったオールセラミックの前歯を新しくした術例 施術前 施術後 施術例詳細へ ホワイトニング後に保険の被せものの色が気になりオールセラミックに変更 施術前 施術後 施術例詳細へ 自費セラミックの前歯にひびが入ったので新しくやり変えた症例 施術前 施術後 施術例詳細へ 投稿ナビゲーション 過去の投稿 素材別、部位別審美施術例 素材別 オールセラミック クラウン ジルコニア ブリッジ ホワイトニング メタルフリー メタルボンド 保険適応 部位別 すきっ歯 上前歯 上奥歯 下前歯 下奥歯 中切歯 側切歯 大臼歯 小臼歯 犬歯 当サイトでよく読まれています! 妊娠中の虫歯治療年末年始の休診についてサファリパーク🦁歯周病治療と一緒に禁煙🚭を!GW休診のお知らせUSJ クールジャパン!液体歯磨きと洗口液の違いWhiteday✨お口ポカンの影響御歳暮 岡田歯科医院TOP クリニック紹介 ドクター&スタッフ紹介 初めてご来院の方へ お急ぎの患者様へ 診療科目 健康通信 スタッフブログ お問い合わせ
前歯保険適応の被せものの変色が気になり、オールセラミックにした症例 施術前 施術後 施術例詳細へ ホワイトニング後に神経のない変色した歯をオールセラミックに変更した術例 施術前 施術後 施術例詳細へ 神経をとった前歯が変色してきたのでオールセラミックに変更した術例 施術前 施術後 施術例詳細へ ホワイトニング後に変色が目立ってしまった保険適応の被せものをオールセラミックに変更 施術前 施術後 施術例詳細へ 古くなり汚れが付着したオールセラミックの被せものを新しくした術例 施術前 施術後 施術例詳細へ 古くなり変色してしまったオールセラミックの前歯を新しくした術例 施術前 施術後 施術例詳細へ ホワイトニング後に保険の被せものの色が気になりオールセラミックに変更 施術前 施術後 施術例詳細へ 自費セラミックの前歯にひびが入ったので新しくやり変えた症例 施術前 施術後 施術例詳細へ 投稿ナビゲーション 過去の投稿 素材別、部位別審美施術例 素材別 オールセラミック クラウン ジルコニア ブリッジ ホワイトニング メタルフリー メタルボンド 保険適応 部位別 すきっ歯 上前歯 上奥歯 下前歯 下奥歯 中切歯 側切歯 大臼歯 小臼歯 犬歯 当サイトでよく読まれています! 妊娠中の虫歯治療年末年始の休診についてサファリパーク🦁歯周病治療と一緒に禁煙🚭を!GW休診のお知らせUSJ クールジャパン!液体歯磨きと洗口液の違いWhiteday✨お口ポカンの影響御歳暮 岡田歯科医院TOP クリニック紹介 ドクター&スタッフ紹介 初めてご来院の方へ お急ぎの患者様へ 診療科目 健康通信 スタッフブログ お問い合わせ
ホワイトニング後に神経のない変色した歯をオールセラミックに変更した術例 施術前 施術後 施術例詳細へ 神経をとった前歯が変色してきたのでオールセラミックに変更した術例 施術前 施術後 施術例詳細へ ホワイトニング後に変色が目立ってしまった保険適応の被せものをオールセラミックに変更 施術前 施術後 施術例詳細へ 古くなり汚れが付着したオールセラミックの被せものを新しくした術例 施術前 施術後 施術例詳細へ 古くなり変色してしまったオールセラミックの前歯を新しくした術例 施術前 施術後 施術例詳細へ ホワイトニング後に保険の被せものの色が気になりオールセラミックに変更 施術前 施術後 施術例詳細へ 自費セラミックの前歯にひびが入ったので新しくやり変えた症例 施術前 施術後 施術例詳細へ 投稿ナビゲーション 過去の投稿 素材別、部位別審美施術例 素材別 オールセラミック クラウン ジルコニア ブリッジ ホワイトニング メタルフリー メタルボンド 保険適応 部位別 すきっ歯 上前歯 上奥歯 下前歯 下奥歯 中切歯 側切歯 大臼歯 小臼歯 犬歯 当サイトでよく読まれています! 妊娠中の虫歯治療年末年始の休診についてサファリパーク🦁歯周病治療と一緒に禁煙🚭を!GW休診のお知らせUSJ クールジャパン!液体歯磨きと洗口液の違いWhiteday✨お口ポカンの影響御歳暮 岡田歯科医院TOP クリニック紹介 ドクター&スタッフ紹介 初めてご来院の方へ お急ぎの患者様へ 診療科目 健康通信 スタッフブログ お問い合わせ
神経をとった前歯が変色してきたのでオールセラミックに変更した術例 施術前 施術後 施術例詳細へ ホワイトニング後に変色が目立ってしまった保険適応の被せものをオールセラミックに変更 施術前 施術後 施術例詳細へ 古くなり汚れが付着したオールセラミックの被せものを新しくした術例 施術前 施術後 施術例詳細へ 古くなり変色してしまったオールセラミックの前歯を新しくした術例 施術前 施術後 施術例詳細へ ホワイトニング後に保険の被せものの色が気になりオールセラミックに変更 施術前 施術後 施術例詳細へ 自費セラミックの前歯にひびが入ったので新しくやり変えた症例 施術前 施術後 施術例詳細へ 投稿ナビゲーション 過去の投稿 素材別、部位別審美施術例 素材別 オールセラミック クラウン ジルコニア ブリッジ ホワイトニング メタルフリー メタルボンド 保険適応 部位別 すきっ歯 上前歯 上奥歯 下前歯 下奥歯 中切歯 側切歯 大臼歯 小臼歯 犬歯 当サイトでよく読まれています! 妊娠中の虫歯治療年末年始の休診についてサファリパーク🦁歯周病治療と一緒に禁煙🚭を!GW休診のお知らせUSJ クールジャパン!液体歯磨きと洗口液の違いWhiteday✨お口ポカンの影響御歳暮 岡田歯科医院TOP クリニック紹介 ドクター&スタッフ紹介 初めてご来院の方へ お急ぎの患者様へ 診療科目 健康通信 スタッフブログ お問い合わせ
ホワイトニング後に変色が目立ってしまった保険適応の被せものをオールセラミックに変更 施術前 施術後 施術例詳細へ 古くなり汚れが付着したオールセラミックの被せものを新しくした術例 施術前 施術後 施術例詳細へ 古くなり変色してしまったオールセラミックの前歯を新しくした術例 施術前 施術後 施術例詳細へ ホワイトニング後に保険の被せものの色が気になりオールセラミックに変更 施術前 施術後 施術例詳細へ 自費セラミックの前歯にひびが入ったので新しくやり変えた症例 施術前 施術後 施術例詳細へ 投稿ナビゲーション 過去の投稿 素材別、部位別審美施術例 素材別 オールセラミック クラウン ジルコニア ブリッジ ホワイトニング メタルフリー メタルボンド 保険適応 部位別 すきっ歯 上前歯 上奥歯 下前歯 下奥歯 中切歯 側切歯 大臼歯 小臼歯 犬歯 当サイトでよく読まれています! 妊娠中の虫歯治療年末年始の休診についてサファリパーク🦁歯周病治療と一緒に禁煙🚭を!GW休診のお知らせUSJ クールジャパン!液体歯磨きと洗口液の違いWhiteday✨お口ポカンの影響御歳暮 岡田歯科医院TOP クリニック紹介 ドクター&スタッフ紹介 初めてご来院の方へ お急ぎの患者様へ 診療科目 健康通信 スタッフブログ お問い合わせ
古くなり汚れが付着したオールセラミックの被せものを新しくした術例 施術前 施術後 施術例詳細へ 古くなり変色してしまったオールセラミックの前歯を新しくした術例 施術前 施術後 施術例詳細へ ホワイトニング後に保険の被せものの色が気になりオールセラミックに変更 施術前 施術後 施術例詳細へ 自費セラミックの前歯にひびが入ったので新しくやり変えた症例 施術前 施術後 施術例詳細へ 投稿ナビゲーション 過去の投稿 素材別、部位別審美施術例 素材別 オールセラミック クラウン ジルコニア ブリッジ ホワイトニング メタルフリー メタルボンド 保険適応 部位別 すきっ歯 上前歯 上奥歯 下前歯 下奥歯 中切歯 側切歯 大臼歯 小臼歯 犬歯 当サイトでよく読まれています! 妊娠中の虫歯治療年末年始の休診についてサファリパーク🦁歯周病治療と一緒に禁煙🚭を!GW休診のお知らせUSJ クールジャパン!液体歯磨きと洗口液の違いWhiteday✨お口ポカンの影響御歳暮 岡田歯科医院TOP クリニック紹介 ドクター&スタッフ紹介 初めてご来院の方へ お急ぎの患者様へ 診療科目 健康通信 スタッフブログ お問い合わせ
古くなり変色してしまったオールセラミックの前歯を新しくした術例 施術前 施術後 施術例詳細へ ホワイトニング後に保険の被せものの色が気になりオールセラミックに変更 施術前 施術後 施術例詳細へ 自費セラミックの前歯にひびが入ったので新しくやり変えた症例 施術前 施術後 施術例詳細へ 投稿ナビゲーション 過去の投稿 素材別、部位別審美施術例 素材別 オールセラミック クラウン ジルコニア ブリッジ ホワイトニング メタルフリー メタルボンド 保険適応 部位別 すきっ歯 上前歯 上奥歯 下前歯 下奥歯 中切歯 側切歯 大臼歯 小臼歯 犬歯 当サイトでよく読まれています! 妊娠中の虫歯治療年末年始の休診についてサファリパーク🦁歯周病治療と一緒に禁煙🚭を!GW休診のお知らせUSJ クールジャパン!液体歯磨きと洗口液の違いWhiteday✨お口ポカンの影響御歳暮 岡田歯科医院TOP クリニック紹介 ドクター&スタッフ紹介 初めてご来院の方へ お急ぎの患者様へ 診療科目 健康通信 スタッフブログ お問い合わせ
ホワイトニング後に保険の被せものの色が気になりオールセラミックに変更 施術前 施術後 施術例詳細へ 自費セラミックの前歯にひびが入ったので新しくやり変えた症例 施術前 施術後 施術例詳細へ 投稿ナビゲーション 過去の投稿 素材別、部位別審美施術例 素材別 オールセラミック クラウン ジルコニア ブリッジ ホワイトニング メタルフリー メタルボンド 保険適応 部位別 すきっ歯 上前歯 上奥歯 下前歯 下奥歯 中切歯 側切歯 大臼歯 小臼歯 犬歯
自費セラミックの前歯にひびが入ったので新しくやり変えた症例 施術前 施術後 施術例詳細へ 投稿ナビゲーション 過去の投稿 素材別、部位別審美施術例 素材別 オールセラミック クラウン ジルコニア ブリッジ ホワイトニング メタルフリー メタルボンド 保険適応 部位別 すきっ歯 上前歯 上奥歯 下前歯 下奥歯 中切歯 側切歯 大臼歯 小臼歯 犬歯